고양이HCM이 맞는걸까요?? 알려주세요 ㅠ

반려동물 종류

고양이

품종

코리안

성별

수컷

나이 (개월)

7년

몸무게 (kg)

7.1

중성화 수술

1회

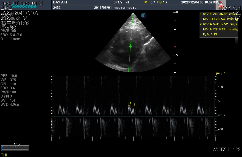
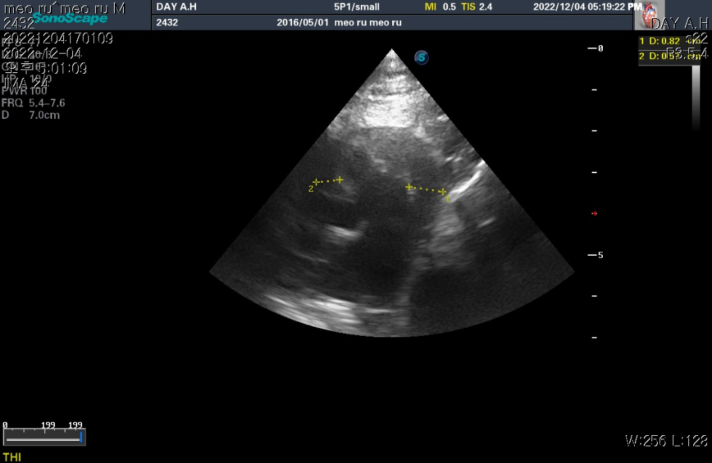
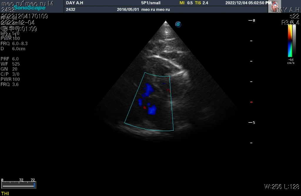
어느병원에서는 저희집아이가 HCM이라고 하고 어느병원에서는 심장크기가 좀 크진하지만 HCM은 아니고 정상이라서 6개월에서1년단위로 심초음파만 한번씩 보는게 좋다고 하던데.. 도대체 어떤게 맞는걸까요..피검사는 비만이라 고지혈증 있는거만 빼고 정상입니다! 초음파랑 엑스레이 사짖첨부합니다 ㅜ

부탁드립니다 알랴주세요 ㅠ






















1개의 답변이 있어요!

  • 안녕하세요. 이은수 수의사입니다.

    HCM을 진단하는 기준은 매우 다양합니다. 다양한 이유는 하나로 딱 떨어지게 Yes or No를 단정할 검사가 없다는것이죠.

    하지만 심장 질환의 잠정적 확진 golden standard는 심장 초음파 검사로 심장 초음파 검사상 심장의 벽 구조가 6mm이상이라면 HCM의 가능성이 매우 높다고 판단합니다.

    현재 첨부한 사진상에서 6mm이상의 직경을 보이는 사진들이 존재하기 때문에 해당 검사를 진행한 수의사의 기준상 HCM의 가능성이 높다고 판단하는것은 합리적입니다.

    하지만 최종적인 확진은 심장 근육을 조직학적으로 평가하는 즉, 사망 후 확인만이 유일한 것이라 현실적이지는 않아 추정상의 가능성을 기초로 진단 및 치료 방향을 결정해야 합니다.

    HCM이건 아니건간에 가슴쪽 엑스레이 사진에서 좌심방이 돌출하여 보이는 양상이 관찰되기 때문에

    어떤 이유에서간 심장에 이상이 있을 가능성이 매우 높으니

    환자의 증상에 따른 의학적 개입이 필요한 상황으로 생각됩니다.

    사공이 많으면 배만 산으로 가는게 아니라 고양이도 산으로 가서 묻힙니다.

    진단을 위한 절차적 일관성을 유지하면서 불완전 검사가 아닌 완전 검사를 진행하고 근거 중심으로 자료를 해석한 주치의의 의견을 존중하고 따르는게 고양이를 위한 최선의 길입니다.