아하
  • 토픽

  • 스파링

  • 잉크

  • 미션


의료상담

충분히성숙한도토리묵

충분히성숙한도토리묵

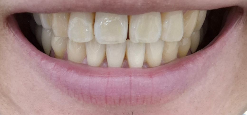
교정유지장치 떨어진후에 앞니 벌어지는현상 질문드립니다

제가 17살부터 19살까지 교정을 했고 현재 33살(92년생)인데 세달전쯤에 교정식유지장치 철사가 빠진듯한 느낌을 받았는데 교정하고 시간이 오래 지나서 괜찮겠지 하는 마음이 그냥 뒀는데 앞니 벌어짐이 점점 심해지는 것 같습니다
현재상태정도면 괜찮은데 사진보다 더 심하게 벌어질까 걱정됩니다
재교정은 원하지않습니다
질문 1.현상태로 그냥 둘 경우 치아이동이 더 진행될지?(윗니 특정부분만 나사가 풀어진듯 합니다)

현상태에서 크게 더 틀어지지만 않으면 이걸로 치과에 가고싶지는 않습니다
2.만약 더 벌어질 예정이라 치과에 간다면 재교정 말고 고정식유지장치를 다시 붙혀 현상태유지는 가능한지 궁금합니다
답변 미리 감사합니다

  • 1번 째 사진

4개의 답변이 있어요!

  • 정진석 치과의사

    정진석 치과의사

    대학병원 통합치의학전문의

    안녕하세요. 정진석 치과의사입니다.

    치아 이동은 현재 사진으로는 정확한 판단이 어렵습니다. 정확한 판단을 위해서는 치과 방문 후 교합관계 및 전체적인 교정적인 평가를 받아봐야 합니다. 현재 사진만으로는 정확한 판단이 어려우므로 가까운 교정 치과 방문 후 상담이 필요합니다.

    고정식 유지 장치는 현재 상태를 유지하는 역할을 하므로 현재 상태에서 머무는 것에는 도움이 되지만 이것으로 인하여 치아 벌어짐을 치료하거나 붙이지는 못할 것입니다.

    아무쪼록 저의 답변이 문제 해결에 작게 나마 도움이 될 수 있기를 기원드립니다. 항상 건강하고, 행복하세요^^

  • 안녕하세요. 김지훈 치과의사입니다.

    지금부터라도 유지장치를 다시 끼면 유지할 수 있습니다. 그대로 두면 더 틀어지게 됩니다.

  • 안녕하세요. 김철진 치과의사입니다.

    1.현상태로 그냥 둘 경우 치아이동이 더 진행될지?(윗니 특정부분만 나사가 풀어진듯 합니다)

    현상태에서 크게 더 틀어지지만 않으면 이걸로 치과에 가고싶지는 않습니다

    -치아가 벌어지고 잇다면 계속해서 치아 사이가 벌어질수도 있습니다.
    2.만약 더 벌어질 예정이라 치과에 간다면 재교정 말고 고정식유지장치를 다시 붙혀 현상태유지는 가능한지 궁금합니다
    답변 미리 감사합니다

    -유지장치로는 치아를 이동시킬수는 없고 부분 교정을 하셔야될수도 있습니다.

  • 안녕하세요. 안상우 치과의사입니다.

    교정을 하고 나서는 교정된 치아들은 원래 자리로 돌아가려고 하는 습성을 가지고 있습니다. 교정을 하고 난 뒤에 유지 장치를 하지 않아도 치아가 원 위치에서 벗어나게 된다면 교정을 통해서 위치를 잡아 주는 것이 좋습니다. 정확한 확인을 위해서 교정치과에서 진료를 받아보는 것을 권유 드립니다.