아하
  • 토픽

  • 스파링

  • 잉크

  • 미션


의료상담

제법미려한동그랑땡

제법미려한동그랑땡

지금 제 치아가 치료가 필요한 상태인가요?

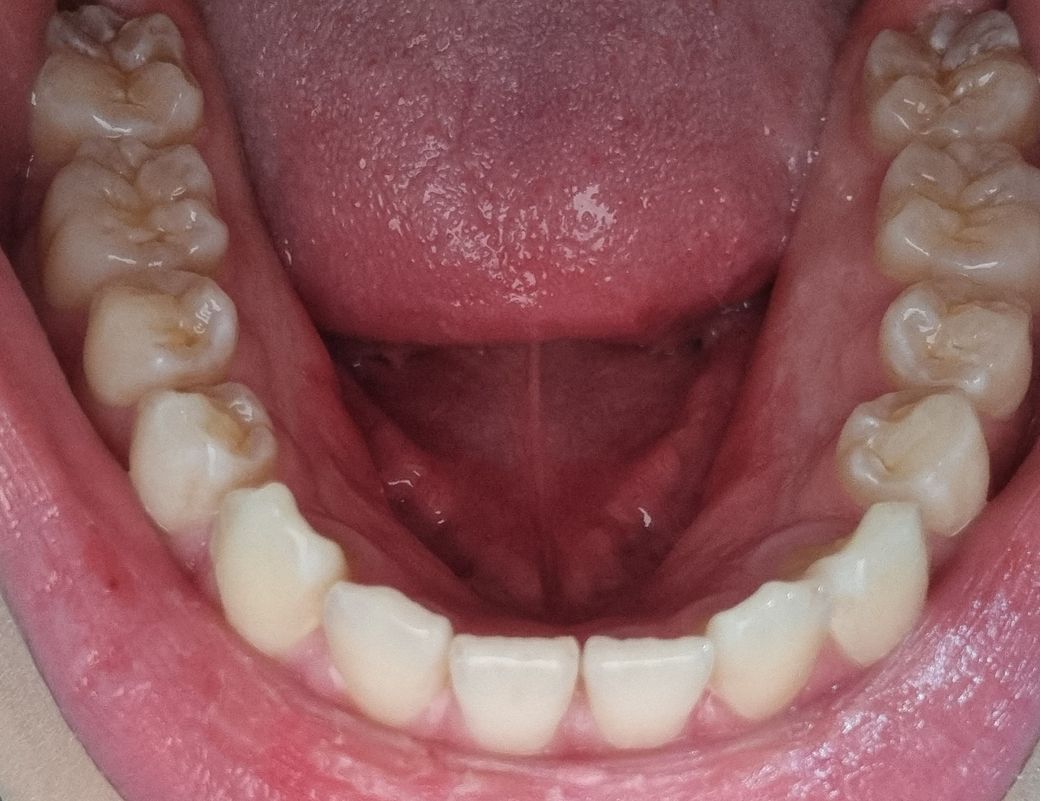
최근 치아 상태를 한번 확인해봤는데 어금니의 씹는 부분이 많이 녹고 금이 깊어져있는 상태인 것 같습니다. 지금 치아 상태가 어느정도인가요? 당장 치과에 가서 치료가 필요한 수준인가요?

  • 1번 째 사진

6개의 답변이 있어요!

  • 박백현 치과의사

    박백현 치과의사

    미소현치과 대표원장

    안녕하세요. 박백현 치과의사입니다.

    일단 사진상으로는 괜찮아보이나, 엑스레이등을 찍어봤을 때

    충치나 다른 문제점이 나올 수 있으니 치과가서 검진 받아보세요^^

  • 안녕하세요. 김철진 치과의사입니다.

    사진상으로 보면 크게 문제가 되는건 없는거 같습니다. 정확한건 치과에 가셔서 엑스레이를 찍어보시는게 좋을것같습니다.

  • 안녕하세요. 정진석 치과의사입니다.

    현재 사진에서 나온 부위에는 특별히 치료를 해야할 정도의 치아는 없습니다. 다만 촬영된 부위가 극히 좁고 치아 인접면 그리고 다양한 부위를 볼 수 없어 진단에 한계는 있습니다. 정확한 진단을 위해서는 치과 방문 후 x-ray 등의 평가가 필요합니다.

    아무쪼록 저의 답변이 문제 해결에 작게 나마 도움이 될 수 있기를 기원드립니다. 항상 건강하고, 행복하세요^^

  • 안녕하세요. 김지훈 치과의사입니다.

    치아가 마모되어있는 부분들이 상당히 관찰이 되긴하지만 바로 치료를 받을 정도는 아닌 것 같습니다.

  • 안녕하세요. 안상우 치과의사입니다.

    해당 부위는 치아에 구조입니다. 사진으로만 봤을 경우에는 크게 문제가 없는 것으로 보입니다 자세한 확인을 위해서 치과에서 진료를 받아보는 것을 권유드립니다

  • 안녕하세요. 최석민 치과의사입니다.

    어금니 부위는 금이갔다기 보다는 원래 해부학적인 모양입니다 치아의 소와열구, 그루브이며 효율적인 음식물 저작에 도움을 주는 구조들입니다