아하
  • 토픽

  • 스파링

  • 잉크

  • 미션


의료상담

안녕하세ㅇ

안녕하세ㅇ

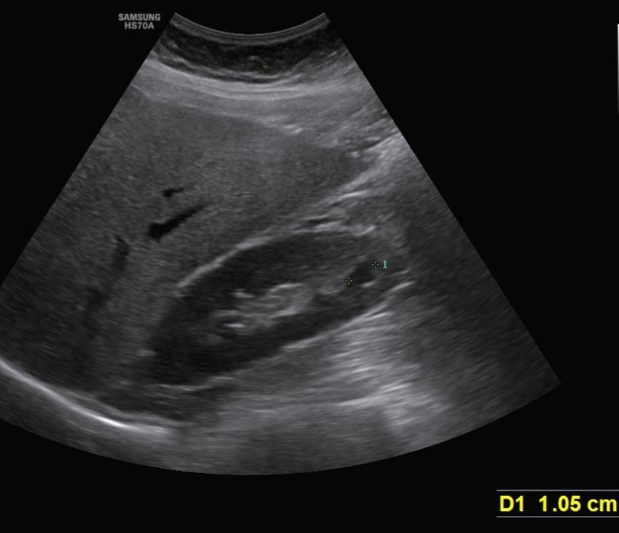
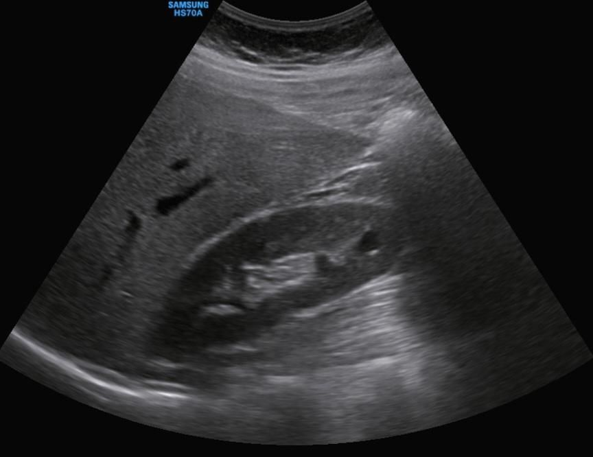
복부초음파 신장 낭종 어떤지 봐주세요

성별

여성

나이대

30대

1. 단순 신장 물혹 같나요? 보스니악 1단계

  1. 크기가 동그란 모양 아니어도 단순 물혹인가요?
  2. 사진확대하면 가운데 안에 미세하게 하얀색 선 있는데 괜찮은건가요??
  • 1번 째 사진
  • 2번 째 사진

1개의 답변이 있어요!

  • 강한솔 의사

    강한솔 의사

    응급의학과/피부미용

    안녕하세요. 강한솔 의사입니다.

    보여주신 초음파 이미지만으로 판단할 때는 전형적인 단순 신장 낭종(bosniak 1 가능성이 높아 보임) 쪽에 가깝습니다. 이유를 간단히 정리하면:

    1. 경계가 비교적 매끄럽고 내부가 균일하게 어둡게(무에코) 보임

    복잡낭종(보스니악 2 이상)에서는 내부 격막, 결절, 벽 비후 등이 보이는 경우가 많은데 그런 특징은 뚜렷하지 않습니다.

    2. 모양이 완전한 원형이 아니어도 단순 낭종 가능

    초음파에서는 장기·각도·압박에 따라 낭종이 약간 길쭉하게 보일 수 있습니다. 원형이 아니라고 해서 문제되는 것은 아닙니다.

    3. 안쪽의 미세한 하얀 선

    초음파에서 흔히 보이는 ‘경계면 반사(artifact)’로 보이며, 실제 격막이나 종괴로 보일 만큼 뚜렷하거나 두껍지 않아 위험 소견으로 보이진 않습니다.

    4. 크기 1.05 cm 정도

    1cm대 작은 낭종은 대부분 임상적으로 문제 없습니다. 보통 증상도 없고 정기 추적만 권합니다.

    다만, 초음파는 검사자·각도에 따라 해석이 달라질 수 있어 최종 평가는 영상의학과 판독지를 기준으로 보시는 게 가장 안전합니다. 판독지에 ‘simple cyst’ 또는 ‘Bosniak I’라면 크게 걱정하실 필요는 없습니다.