반려동물
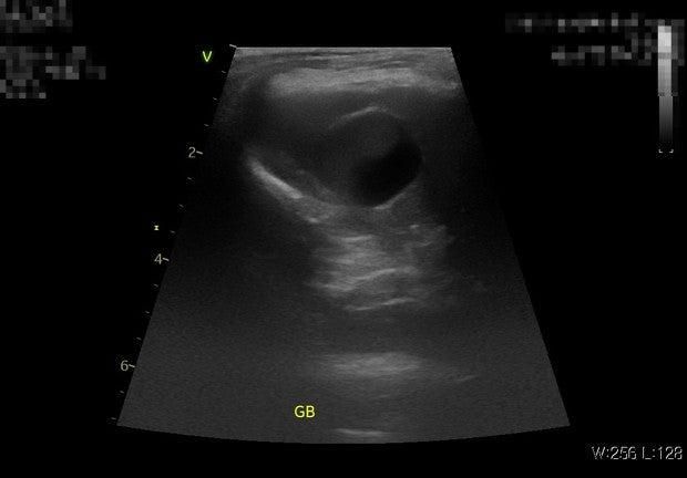
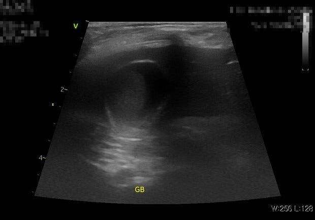
강아지 담낭 한번 봐주시면 감사하겠습니다
반려동물 종류
강아지
병원을 각기 다른 두곳을 다녔는데 모두 슬러지라 했으며 우루사 처방은 안해줬습니다 11살 토이푸들 4kg 수컷 강아지 입니다 ALP 수치 정상이였습니다
혹시 이 담낭 상태로 인해 부분적으로 겉에만 시멘트 회색변을 눌 가능성이 있을까요?
55글자 더 채워주세요.
1개의 답변이 있어요!
안녕하세요. 박주찬 수의사입니다.
슬로지어도 다 수술하는 것이 아닙니다. 초음파나 혈액 검사 등으로 확실하게 탐랑 전액 좀 이 진단이 되는 경우에는 수술적인 담낭 제거술이 지시됩니다

