아핫뉴스실시간 인기검색어
아핫뉴스 화산 이미지
화산 아이콘 11
윤석화 배우 별세
많이 본
아하

의료상담

치과

완전흥겨운산토끼
완전흥겨운산토끼

잇몸 절개나 뼈 삭제가 필요한 사랑니인지 궁금합니다

안녕하세요!

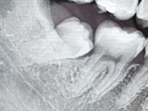
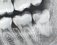
현재 좌측 사랑니는 똑바로 선 상태이나 반이 잇몸에 묻혀있으며

우측 사랑니의 경우 윗면이 보이는 정도로 기울어져 있는 상황입니다.

이러한 경우 잇몸 절개가 필요한지 궁금합니다...ㅠㅠ

해야한다면 많이 절개해야 하는 형태인지도 여쭤보고 싶습니다.

잇몸 절개 + 뼈 삭제가 많을 수록 통증이 심하다고 하는데 무섭네요..

읽어주셔서 감사합니다

[우측]

[좌측]

  • 1번 째 사진
  • 2번 째 사진
5개의 답변이 있어요!
  • 안녕하세요. 안상우 치과의사입니다.

    사랑니의 머리가 보인다면 잇몸 절개를 하지 않을 수도 있습니다 하지만 오른쪽 아래에 사장니의 경우에는 발치를 수월하게 하기 위해서 잇몸 절개 후에 진행을 하는 것이 더 좋을 수도 있습니다.

    자세한 확인을 위해서 치과에서 진료를 받아 보는 것을 권유 드립니다.

  • 안녕하세요. 김철진 치과의사입니다.

    잇몸은 살짝 절개를 하고 치아의 앞부분을 자르고 나서 발치를 해야될것같습니다. 하지만 발치하는과정중에 잘 나오지 않는다면 잇몸뼈 삭제도 해야될수도 잇습니다.

  • 안녕하세요. 정진석 치과의사입니다.

    2 케이스 모두 잇몸 절개 및 일부 치조골 삭제가 동반될 가능성이 높습니다. 특히 오른쪽 치아는 치아 절개 및 치조골 삭제가 들어갈 가능성이 크며, 왼쪽 케이스도 뒤쪽 부위가 뼈에 걸려 있다면 해당 부위의 치조골 삭제가 필요합니다.

    아무쪼록 저의 답변이 문제 해결에 작게 나마 도움이 될 수 있기를 기원드립니다. 항상 건강하고, 행복하세요^^

  • 안녕하세요. 김지훈 치과의사입니다.

    어느정도 필요해보입니다. 뼈삭제, 잇몸절개 하더라도 많이 아프지 않습니다. 걱정말고 뽑으셔도 됩니다.

  • 안녕하세요. 최석민 치과의사입니다.

    네 잇몸절개는 시야확보를 위해서 필요하고 잘 안나오면 뼈도 일부 쳐야할 수도 있습니다 이런 경우 발치 후 마취가 풀렸을때 통증이나 부종이 좀 더 심할 수 있습니다