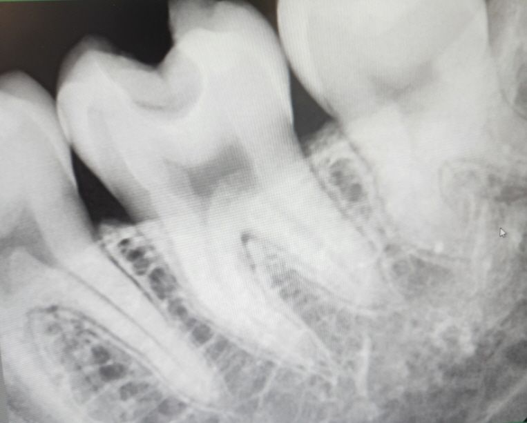
왼쪽 어금니 치료 질문입니다.000
사진은 왼쪽 볼쪽으로 찍은 엑스레이입니다
왼쪽어금니 오래된 아말감이 떨어졌습니다
충치치료를 해야되고 신경이보일수있다는데
어느부분이 충치인가요?
육안으로 검은데 아말감변색으로 변색된건지, 충치가 엑스레이상에서 어디인지 모르겠습니다
파절은 왼쪽볼쪽으로 3/1정도 된상태입니다
안녕하세요. 안상우 치과의사입니다.
협측의 충치는 육안으로 확인이 가능합니다.
사진으로만은 판단하기 힘들어 보여요.
아말감이 깨지거나 탈락하게 되면 내부에 충치가 있는 경우가 있으며 육안으로 확인했을때 검은색 또는 갈색으로 보입니다.
안녕하세요. 김철진 치과의사입니다.
엑스레이 상으로는 충치가 그렇게 깊어 보이진 않지만, 아마 육안상에 보이는 충치를 제거하다보면 신경이 노출될수도 있다는 이야기 같습니다.
안녕하세요. 최석민 치과의사입니다.
1. 아말감이 파절되었다면 치아에 금이갔을 가능성도 배제할 수 없습니다. 육안으로, 큐레이로, 방사선사진을 여러 각도로 찍어보면서 잘 확인해봐야 합니다.
2. 파절된 틈으로 침이나 음식물이 들어가면 아플 수 있습니다. 이로 인해 이차충치가 생깁니다.
3. 이차충치는 제거해봐야 신경이 드러날 지 알 수 있습니다. 사진상으로 봐서는 정확히 알 수는 없습니다. 신경이 노출된다면 신경치료 또는 직접치수복조 신경이 노출되지 않는더라도 근접했다면 간접치수복조를 해줄 수 있습니다.
치수복조란 치수(치아신경)를 진정시키는 것으로 보호막 같은 것을 깔아주는 것입니다.
파란색이 치앗니경, 빨간색이 이차충치, 노란색이 파절된 아말감입니다.
육안으로 보이는 검은 것은 아말감 변색을 확률이 높습니다만 방사선 사진상 이차충치가 있을 확률이 높습니다

