아하
  • 토픽

  • 스파링

  • 잉크

  • 미션


의료상담

다소화기애애한감자탕

다소화기애애한감자탕

충격으로 인한 신경이 죽은 치아 수명은 어느정도 되나요?

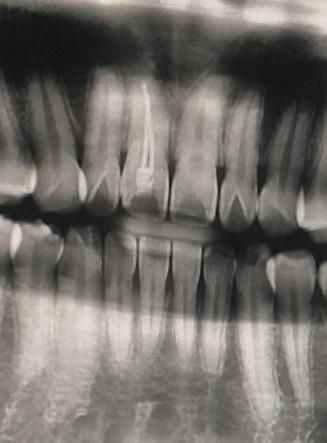
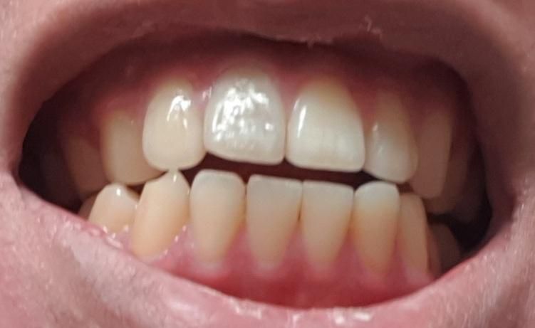
충격으로 인해 앞니의 신경이 죽어 신경치료를 한후 크라운없이 충치도 생기지 않고 8년도넘었고 올해 9년차 동안 치아를 사용했는데 변색은 사진처럼 되어있는 상황입니다.

신경이 죽은 치아는 파절위험이 높다 하여 걱정이 되네요.

1.이제는 크라운을 씌워야 하는 시기인가요?

2.치아가 많이 누런색인거 같은데 심한편인가요?

3.아직 크라운이 필요치 않아 보이면 실활치 미백만으로도 상관 없을까요?

4.깨질 가능성이 보이나요?

5.더 써도 된다면 어느정도나 더 써도 될까요?

  • 1번 째 사진
  • 2번 째 사진
  • 3번 째 사진

1개의 답변이 있어요!

  • 최석민 치과의사

    최석민 치과의사

    강원도 원주의료원

    안녕하세요. 최석민 치과의사입니다.

    1. 진작 씌워줬어야 합니다

    2. 사진으로는 치아 색상에 대해 평가하기 어렵습니다. shade guide가 있어야 정확히 알 수 있고요. 사진상으론 그렇게 누래 보이진 않습니다.

    4. 딱딱한 음식이나 질긴 음식 먹다가 깨지는 겁니다 가만히 있을때 깨지는 건 아니고요

    채택된 답변