아핫뉴스실시간 인기검색어
아핫뉴스 화산 이미지
화산 아이콘 11
비트코인 가격 회복
아하

의료상담

치과

탈퇴한 사용자
탈퇴한 사용자

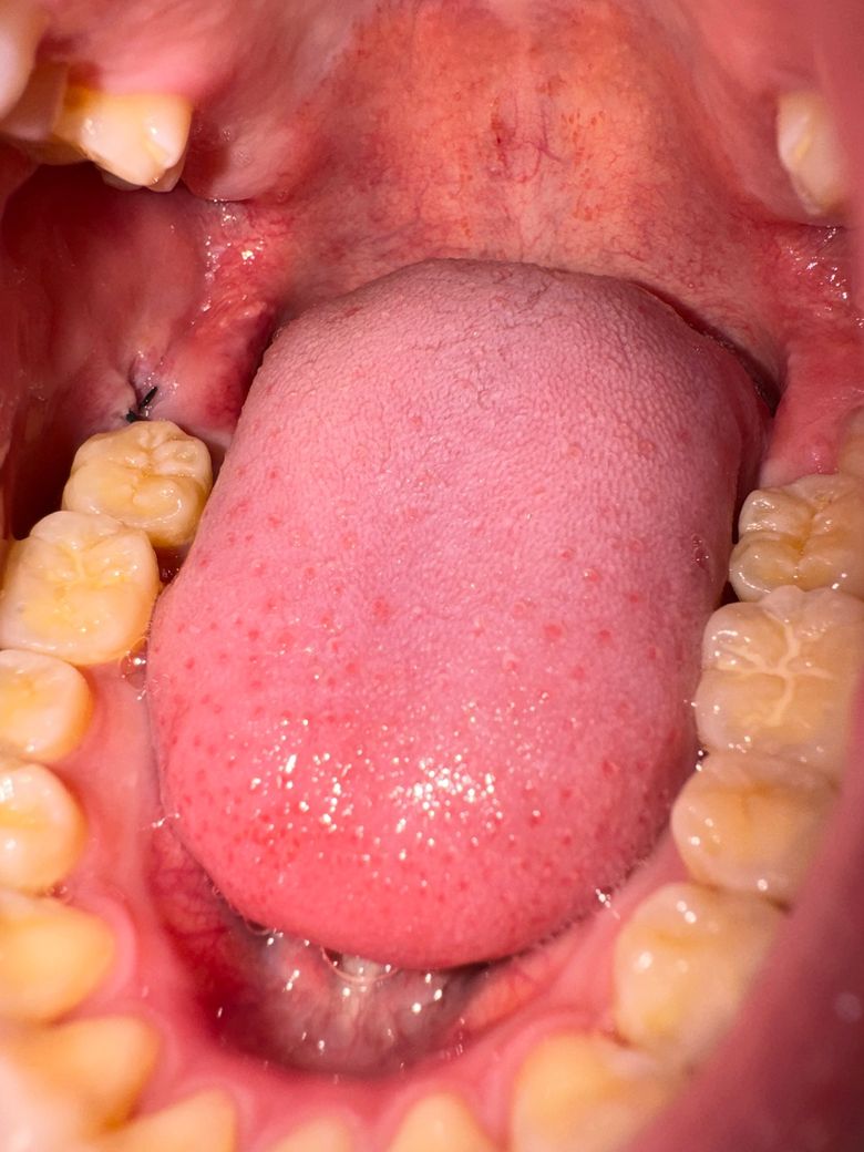
저번주 금요일에 사랑니뽑앗는데 실수로 빨대를 지금 사용했어여

지금 이상태인데 괜찮을까요…? 별로 아프지는 않고 어제랑 큰차이는 없는거처럼 보이는데 어떤가요…? 좀 알려주세요 부탁드려요

  • 1번 째 사진
3개의 답변이 있어요!
  • 안녕하세요. 송우식 치과의사입니다.

    거의 1주일째 입니다. 이정도면 정상적으로 아물고 있는 것입니다. 이제는 빨대 사용해도 됩니다.

  • 안녕하세요. 정진석 치과의사입니다.

    사랑니 발치 이후에 빨대 사용을 금하는 이유는 음압 때문입니다. 빨대로 빨아 당기는 힘에 의해 구강 내에 음압이 생기면 발치와의 정상적인 회복이 지연되거나 발치와에 있는 혈병이 떨어질 수 있기 때문입니다. 지금 사진으로는 어떠한 문제가 없으므로 크게 걱정하지 않으셔도 되며 실밥 제거 날 치과를 방문하여 다시 한 번 검사를 받아보는 것을 권해드립니다.

  • 안녕하세요. 최석민 치과의사입니다.

    1. 빨대를 이미 사용했으니 과거는 되돌릴 수 없네요

    2. 사진상 별다른 문제는 없어보이네요