아하
  • 토픽

  • 스파링

  • 잉크

  • 미션


의료상담

진짜로비싼갈비찜

진짜로비싼갈비찜

편도염 구내염 치료 중인데 입천장에 뭐가 또 생겼습니다

성별

남성

나이대

20대

지금 편도염 및 구내염으로 치료중인데 입천장이 너무 아파서 사진찍어보니 사진처럼 패여있습니다

저건 다른 병인가요?

구내염이랑 다른건 버틸만 한데 저게 말도 안되게 아파서 아무것도 못먹겠습니다

오라페인큐겔을 저기 발라도 되나요

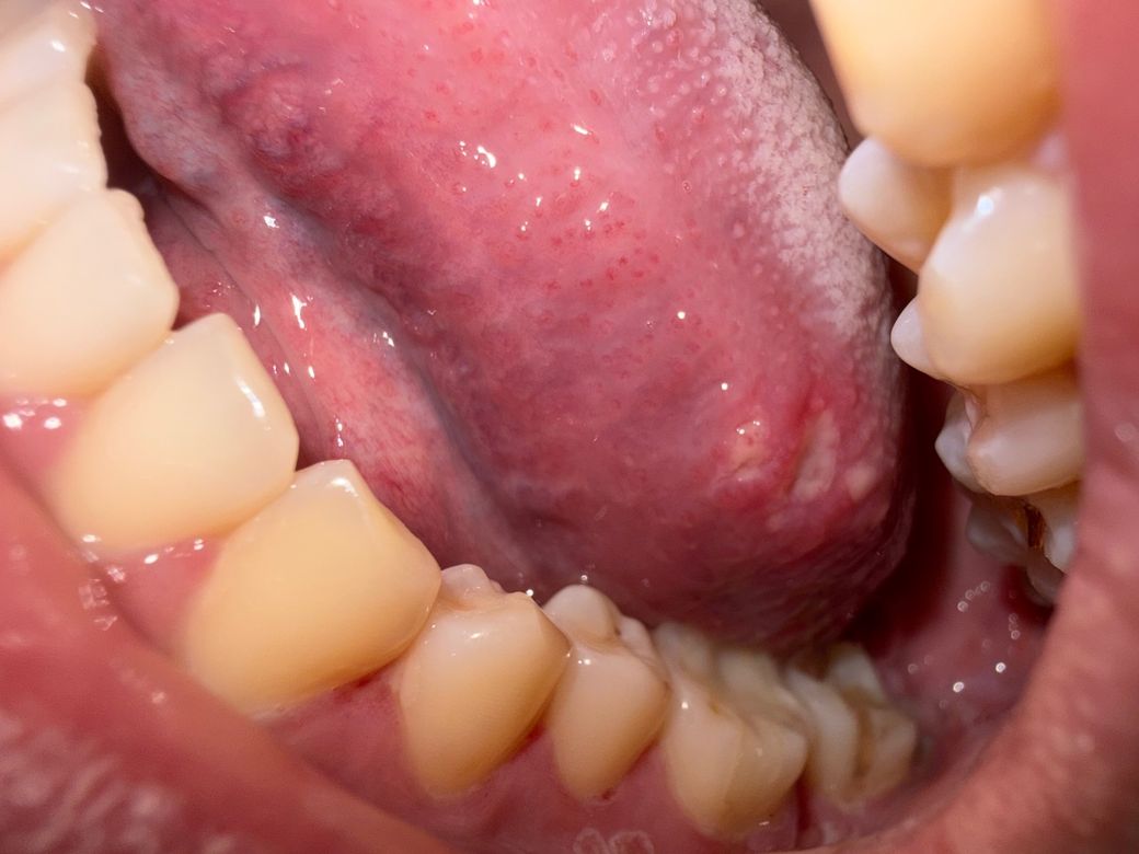
그리고 혀에 저 하얀건 구내염이 맞나요?

  • 1번 째 사진
  • 2번 째 사진

2개의 답변이 있어요!

  • 박문수 의사

    박문수 의사

    포항공대 화학공학과

    안녕하세요.

    편도염과 구내염 치료 중 입천장에 무언가 새로 생기셨다니 걱정이 많으시겠어요.

    새로 생긴 것이 물집처럼 보인다면 헤르페스성 구내염이나 수족구일 가능성도 있습니다. 궤양처럼 보인다면 아프타성 구내염일 수도 있고요. 정확한 진단을 위해서는 병원에 방문하셔서 진료를 받아보시는 것이 좋겠습니다.

    병원에 가시기 전까지는 자극적인 음식은 피하시고, 가글액이나 구강 청결제를 사용하시는 것도 도움이 될 수 있습니다.

    감사합니다.

  • 사진상 입천장(연구개 부위)에 경계가 비교적 분명한 얕은 궤양이 보이고, 주변 점막은 충혈되어 있습니다. 현재 편도염과 함께 발생했다는 점을 고려하면, 바이러스성 구내염(특히 헤르페스성 인두구내염) 가능성이 더 높아 보입니다. 이런 경우 통증이 매우 심하고 음식 섭취가 어려운 경우가 흔합니다.

    혀 측면의 하얀 병변은 중심부가 희고 주변이 붉은 형태로, 아프타성 구내염 양상과 유사합니다.

    오라페인큐겔(국소 마취·소염 성분)은 입천장 궤양 부위에 소량 도포해도 됩니다. 다만 도포 직후 음식 섭취는 점막 손상 위험이 있어 30분 정도 피하는 것이 안전합니다. 통증이 매우 심하면 경구 진통소염제 병용이 필요할 수 있습니다.

    다음과 같은 경우에는 재진이 필요합니다. 고열이 3일 이상 지속되는 경우, 궤양이 2주 이상 호전되지 않는 경우, 물도 삼키기 어려울 정도의 통증이 지속되는 경우입니다.