아핫뉴스실시간 인기검색어
아핫뉴스 화산 이미지
화산 아이콘 11
비트코인 기업 충격
많이 본
아하

의료상담

치과

빨간애벌래172
빨간애벌래172

충치/크랙 과잉진단 의심돼서 여쭙습니다..

23살 남성이고

이갈이가 있고 10년전 제1 소구치 위에만 발치교정했습니다

사랑니 발치하고 사고가 많아 양치질을 한동안 잘못해서 불안한 마음에 여러 치과 다녔습니다

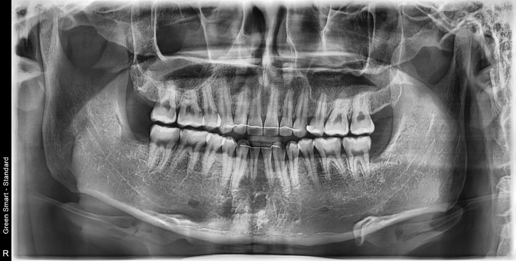
문제가 된다고 지적받은 치아는

16,17,26,27

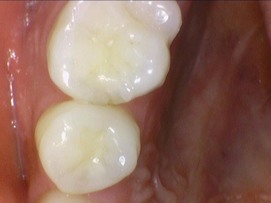
여쭙고 싶은건 깨진건(이 일부가 떨어져나감) 저도 보이기는 하는데

이게 시간이 지날수록 발치가 이어질 안좋은 크랙인지, 아니면 일단 10년 정도는 조심스럽게 그냥 살아도 괜찮은, 흔한 경우인지 입니다

밑에 구강내부 사진(16,17,26,27번 치아)들에서

치료가 반드시 필요한 치아는 몇번째 사진 이런식으로 설명 부탁드립니다

두번째가 깨진 부분들 다 인접면 충치라고 그러던데 다른치과에서 찍은 교익 방사선,파노라마,사진들 모두(각자 다른 치과) 고려했을때 법랑질 뚫고 간 흔적이 안보여서 판독 부탁드리려고 합니다

정말로 인접면 충치인지요..

7/3

5/30(휴대폰 겹친 검은음영 참고부탁드립니다..)

4/8

7/3

싹 다 인레이하자고 하더라고요...

  • 1번 째 사진
  • 2번 째 사진
  • 3번 째 사진
  • 4번 째 사진
  • 5번 째 사진
  • 6번 째 사진
  • 7번 째 사진
  • 8번 째 사진
  • 9번 째 사진
  • 10번 째 사진
  • 11번 째 사진
3개의 답변이 있어요!
  • 안녕하세요. 안상우 치과의사입니다.

    파절된 부위가 보이긴 합니다 하지만 금이 깊게 진행될 정도로 보이는 것은 아닌 것으로 판단이 됩니다 정확한 확인은 직접 확인을 해 봐야 알 수 있습니다.

    자세한 확인을 위해서 치과에서 진료를 받아 보는 것을 권해 드립니다

  • 안녕하세요. 김철진 치과의사입니다.

    예전에 치아 사이에 레진치료를 한곳이 떨어진 부분이 몇군데 잇는거 같습니다. 작은 사진을 찍어보시고 치료를 받으시는게 좋을것같습니다.

  • 안녕하세요. 최석민 치과의사입니다.

    1. 진단에 있어서 해당 치과에 확신이 안가신다면 다른 치과를 여러군데 다니시고 여러 의견을 듣는것도 도움이 됩니다.

    2. 인접면 충치 치료의 경우 진행되기 전 선제적으로 대응하면 좋은 점이 있으나 치과의사마다 판단이 다를 순 있습니다.

    3. 사진상으로 추가적으로 확인해봐야할 치아는 #16, #25, #26, #36, #46 입니다