아하
  • 토픽

  • 스파링

  • 잉크

  • 미션


의료상담

아마도웃음많은보아뱀

아마도웃음많은보아뱀

크라운 관련 질문이 있어요..도와주세요

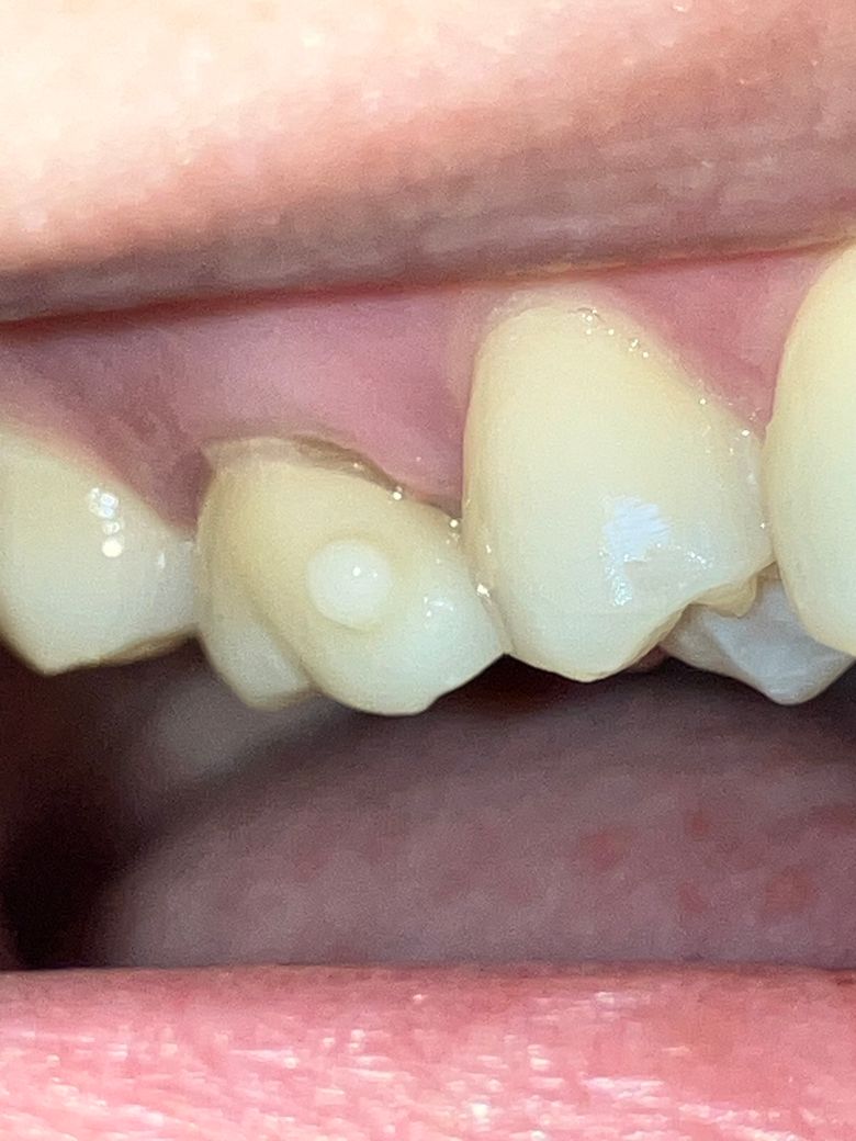
제가 크라운을 씌운지 4개월이 됐는데 최근부터 아려오기 시작해 사진으로 찍어봤더니 크라운이 잇몸라인에 안맞는건지 아님 변색이

된건지 경계선이 얼룩져있더라고요.

질문1) 혹시 충치가 생긴거라면 크라운을 빼서 치료를 하고 다시 만들어져있던 크라운을 다시 끼우는건가요?? 아님 새로 만들어야 하나요

질문2) 크라운이

잇몸라인에 안맞아서 그랬던 거라면 다시 크라운을 새롭게 제작해야하는건가요?? 새롭게 제작하게 된다면 제가 또 크라운 제작비를 똑같이 다시 내야하는건가요??

  • 1번 째 사진

4개의 답변이 있어요!

  • 안상우 치과의사

    안상우 치과의사

    목동안치과의원

    안녕하세요. 안상우 치과의사입니다.

    크라운 치료를 했을 경우 경기 부위가 완전히 맞지 않는 경우가 발생할 수 있습니다.

    이런 경우에는 크라운을 다시 제작할 수 있습니다. 크라운의 경기 부위가 잇몸 위로 올라와 있어도 관리를 잘 한다면 크게 문제가 되진 않으나 신경치료를 하지 않은 치아라면 시린 증상과 불편한 증상이 있을 수 있습니다.

    시린 증상이 심하다면 신경치료를 하는 것이 좋을 수 있습니다. 자세한 확인을 위해서 치과에서 진료를 받아보세요.

  • 안녕하세요. 김지훈 치과의사입니다.

    크라운이 완전부착된 경우엔 제거후에 다시 제작을 하셔야 합니다. 제작비는 덜 들겁니다.

  • 안녕하세요. 김철진 치과의사입니다.

    크라운은 충치가 생기는건 아니고 착색이 된거 같고 저렇게 치아가 노출된상태라면 보철물을 다시 만드셔야될것같습니다.

  • 안녕하세요. 송우식 치과의사입니다.

    질문1) 혹시 충치가 생긴거라면 크라운을 빼서 치료를 하고 다시 만들어져있던 크라운을 다시 끼우는건가요?? 아님 새로 만들어야 하나요

    크라운에 충치가 생길 경우, 크라운을 제거하고 내부의 상태를 확인하고, 충치가 있는 경우 치료를 하고, 크라운을 재제작하여 부착이 필요로 될 가능성이 높습니다.

    질문2) 크리운이

    잇몸라인에 안맞아서 그랬던 거라면 다시 크라운을 새롭게 제작해야하는건가요?? 새롭게 제작하게 된다면 제가 또 크라운 제작비를 똑같이 다시 내야하는건가요??

    크라운이 잇몸 라인에 제대로 맞지 않으면 잇몸에 자극을 주거나 변색이 발생할 수 있습니다. 이 경우 새로운 크라운을 제작해야 할 수 있습니다. 의사의 실수로 문제가 발생한 경우에는 제작비를 재차 지불하지 않을수 있지만 그렇지 않은 경우에는 비용이 발생할수 있습니다.

    치과와 상의하에 비용을 안내 받길 권합니다.

    만족스러운 답변되셨으면 합니다.

    <평가> 감사합니다.