의료상담
55글자 더 채워주세요.
2개의 답변이 있어요!
안녕하세요. 정진석 치과의사입니다.
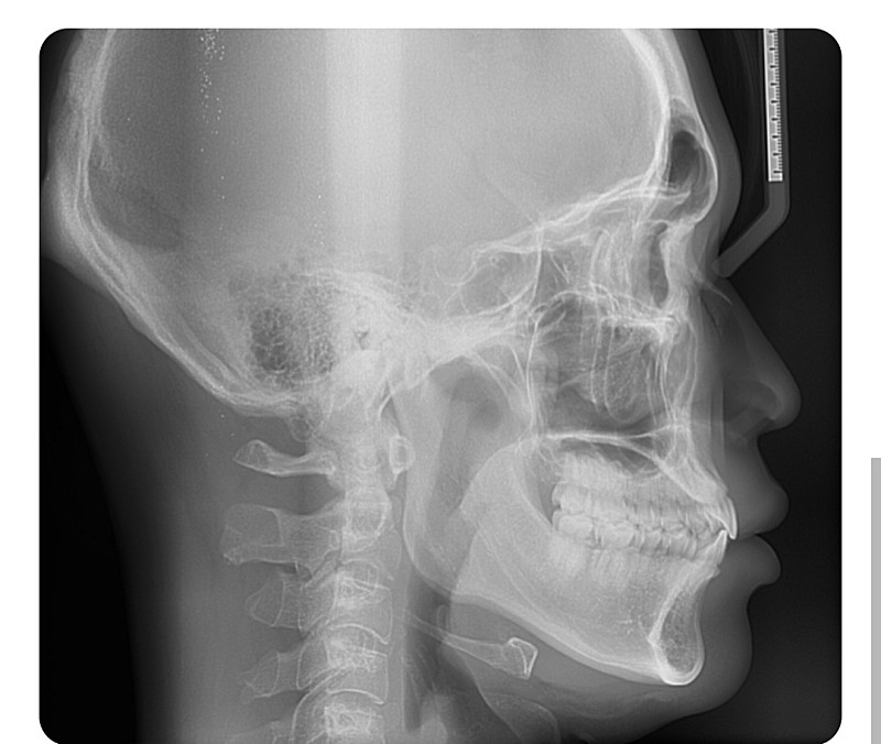
상악이 덜 발달된 것으로 보여집니다. 정확한 것은 임상사진을 통해서 연조직과의 관계도 파악해야 하며 현재 자료의 단편적인 것으로 평가하지 않습니다. 얼굴 및 신체는 3차원적이기 때문에 임상사진 및 방사선 사진 그리고 여러가지 검사 등을 통해 최종 확진하므로 치과 교정과 방문 후 상담을 해보시길 바랍니다.
아무쪼록 저의 답변이 문제 해결에 작게 나마 도움이 될 수 있기를 기원드립니다. 항상 건강하고, 행복하세요^^
정진석 치과의사 드림
안녕하세요. 김철진 치과의사/경제·금융전문가입니다.
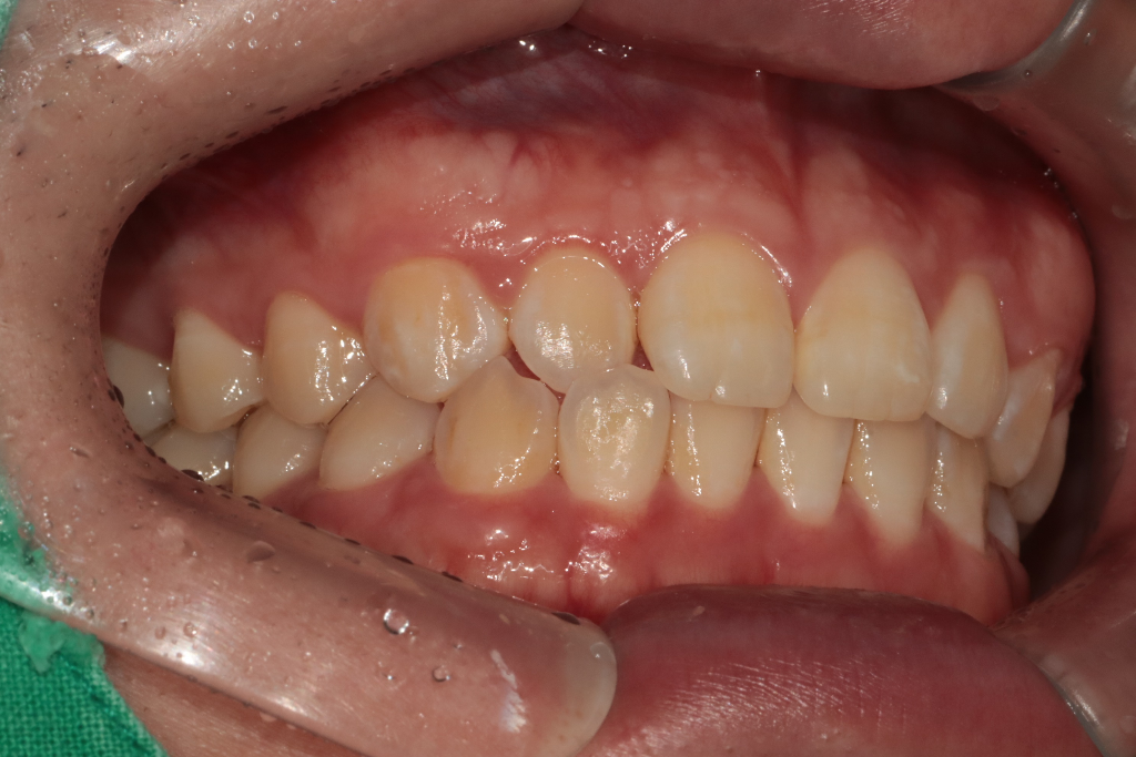
하악 골격이 발달되어서 치아가 나와보이는 거나 아니면 돌출입처럼 보이는걸까요?
-하악골격이 발달되면 흔히 말하는 주걱턱처럼 보이게 됩니다. 돌출입은 치아보다는 골격적인 이유가 큽니다.
상악이나 하악이 정상범위보다 많이 발달되어있는 건가요?
-많이 발달됫다기 보다는 정상범주에서 벗어낫다고 보시는게 맞을것같습니다.
개선을 원한다면 교정만으로는 무리인가요?
-골격적으로 이상이 있다면 교정만으로는 효과를 볼수 없습니다.

