아하
  • 토픽

  • 스파링

  • 잉크

  • 미션


의료상담

빠른파리273

빠른파리273

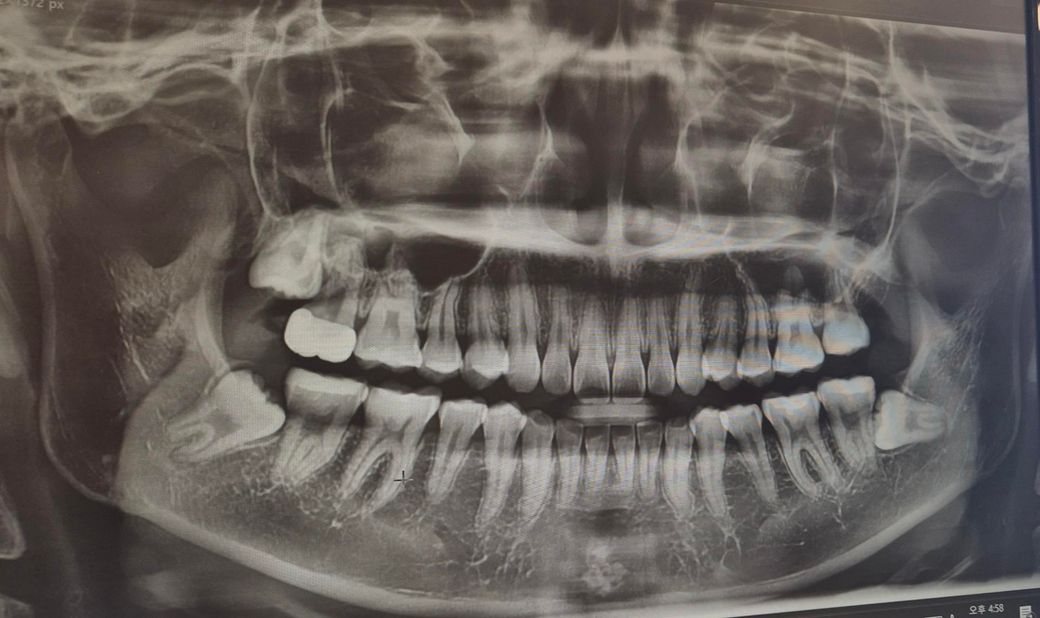
아래쪽 어금니 끝이 문지르면 아파요.

사진상으로 왼쪽 아래 맨끝 어금니입니다.

밥 먹을때나 양치할 때는 괜찮다가 손으로 어금니 윗부분을 문지르거나 살짝 흔들면? 좀 시린 느낌이 나요. 최근에 갔을 때는 육안으로 봤을 때도 엑스레이 상으로도 문제없다는 진단을 받았는데요. 그냥 아픈걸까요? 아니면 어금니 윗부분이 마모된걸까요

  • 1번 째 사진

4개의 답변이 있어요!

  • 김지훈 치과의사

    김지훈 치과의사

    메가

    안녕하세요. 김지훈 치과의사입니다.

    사진 상으로 명확히 보이진 않지만 증상이 지속된다면 사랑니를 먼저 발치해봐야 할 듯 합니다.

  • 안녕하세요. 김철진 치과의사입니다.

    엑스레이 상으로는 사랑니떄문에 치아뒷면에 충치가 잇는거 같습니다. 일단 사랑니 발치후에 다시 치아를 확인해보시는게 좋을것같습니다.

  • 안녕하세요. 최석민 치과의사입니다.

    치아 마모 양상이 관찰되는데요 이갈이나 이 악물기로 인한 치아 마모, 손상 가능성도 있습니다

  • 안녕하세요. 안상우 치과의사입니다.

    육안상이나 사진상으로 문제가 없음에도 불구하고 치아에 불편감이 생긴다면 해당치아에 너무 강한 힘이 가해지지 않는지 확인을 하는것이 좋습니다.

    치아에 불필요한 힘이 가해지게 되면 치아가 예민해 지기 때문입니다. 힘으로 인해서 생기는 불편감은 치아에 가해지는 힘이 줄어들게 되면 없어질수 있습니다.

    자세한 확인을 위해서 치과에서 진료를 받아보는 것을 권유드립니다.