아핫뉴스실시간 인기검색어
아핫뉴스 화산 이미지
화산 아이콘 11
안중근 유묵 특별전 개최
아하

의료상담

치과

투명한메추라기38
투명한메추라기38

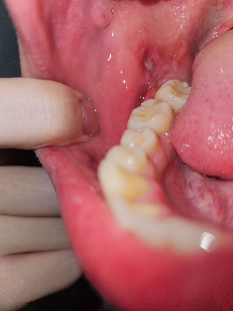
매복사랑니 발치하고 실밥제거 1일 후 상태

1.사랑니 발치 후 실밥까지 뽑고 하루 지났는데 피가 조금 나지만 잘 아물고 있는건가요?


2.가글하다가 그쪽에서 뭔가 뚫고 나오는듯한 뚜둑소리가 났는데 괜찮은가요?


3.소리난 곳에서 노란색인가 검은색인가 어떤것들이

조금씩 나오는데 괜찮은가요?


4.누운어금니의 잇몸은 괜찮은 거겠죠?






  • 1번 째 사진
  • 2번 째 사진
4개의 답변이 있어요!
  • 안녕하세요. 김철진 치과의사입니다.

    1.사랑니 발치 후 실밥까지 뽑고 하루 지났는데 피가 조금 나지만 잘 아물고 있는건가요?

    -아직은 상처가 잇어서 피가 조금씩 나는거 같습니다. 크게 문제가 되지 않습니다.

    2.가글하다가 그쪽에서 뭔가 뚫고 나오는듯한 뚜둑소리가 났는데 괜찮은가요?


    3.소리난 곳에서 노란색인가 검은색인가 어떤것들이

    조금씩 나오는데 괜찮은가요?

    -잇몸이 아직 낳지 않아서 그안에 음식물등이 남아 있는게 나왓을 가능성도 있습니다.


    4.누운어금니의 잇몸은 괜찮은 거겠죠?

    -잇몸에 아직 상처가 잇고 다 낳진 않앗지만 시간이 지나면서 괜찮아 지실꺼 같습니다

  • 안녕하세요. 송우식 치과의사입니다.

    1.사랑니 발치 후 실밥까지 뽑고 하루 지났는데 피가 조금 나지만 잘 아물고 있는건가요?

    현재 사진상으로는 잘아물고 있는 것으로 판단됩니다.

    2.가글하다가 그쪽에서 뭔가 뚫고 나오는듯한 뚜둑소리가 났는데 괜찮은가요?

    소리가 났다고 해서 문제가 되는 것은 아닙니다.

    3.소리난 곳에서 노란색인가 검은색인가 어떤것들이

    조금씩 나오는데 괜찮은가요?

    음식물 찌꺼기가 발치부위에 쌓이는 경우 염증이 생길수 있기에 가능한 발치부위에 음식물 찌꺼기가 쌓이지 않게 가그을 꼼꼼히 하길 권합니다.

    4.누운어금니의 잇몸은 괜찮은 거겠죠?

    잇몸이 아무는데 시간이 필요로 되며, 잇몸이 차오르는데 3달이상 시간이 필요로 됩니다.

  • 탈퇴한 사용자
    탈퇴한 사용자

    안녕하세요. 김주혁 치과의사입니다.


    사진 상 큰 문제 없이 아물고 있는 것으로 보이며

    회복을 위해 손이나 혀로 해당 부위를 자극하지 않는 것이 좋습니다



  • 안녕하세요. 치아를 사랑하고 아끼는 치과의사 최석민입니다.

    사랑니 뽑으시느라 고생많으셨습니다. 봉합을 푸는 시기는 일반적인 경우 발치 후 1주 정도 뒤이므로 현재 발치를 하고 8일 정도가 지난 시점이겠네요.

    1) 8일이 지난 시점에서 잇몸은 어느 정도 아물게 되며 그 이후의 기간에도 잇몸 안쪽에서 조직재생은 계속됩니다. 잇몸은 7일 정도면 회복되는데 개인차는 있을 수 있습니다. 현재 발치 부위(발치와)의 잇몸은 잘 아물고 있는 상태로 보여집니다.

    2) 말씀주신 증상으로 미루어봐서는 피하기종의 가능성이 있습니다. 이는 사랑니 발치과정에서 고속회전드릴과 압축 공기를 사용한 것이 원인일 수 있는데 특별히 문제가 되지는 않습니다. 1~2주 정도면 해당 증상은 자연스럽게 사라집니다. 특별히 통증이 있다거나 하지 않는 이상 조치가 필요하지는 않으나 불안하다면 치과에 해당 증상을 한번 문의해보시는게 좋겠습니다.

    3) 잔류 음식물일 가능성이 높습니다. 사진이 있다면 정확한 답변에 좀 더 도움이 될 것 같습니다.

    4) 절개선의 생김새로 보아 부분매복 또는 전체매복 사랑니를 뽑기 위해 수직 절개선을 형성 한 것으로 보입니다. 사랑니 발치 시의 시야 확보를 위해 형성한 것이므로 두번째 큰 어금니의 잇몸은 다른 발치 부위(발치와)와 비슷한 정도의 속도로 잇몸은 치유될 것입니다.