아핫뉴스실시간 인기검색어
아핫뉴스 화산 이미지
화산 아이콘 11
비트코인 약세장 지속
아하

의료상담

치과

비상하는 올빼미862
비상하는 올빼미862

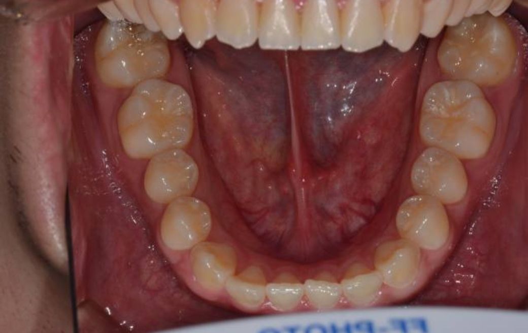
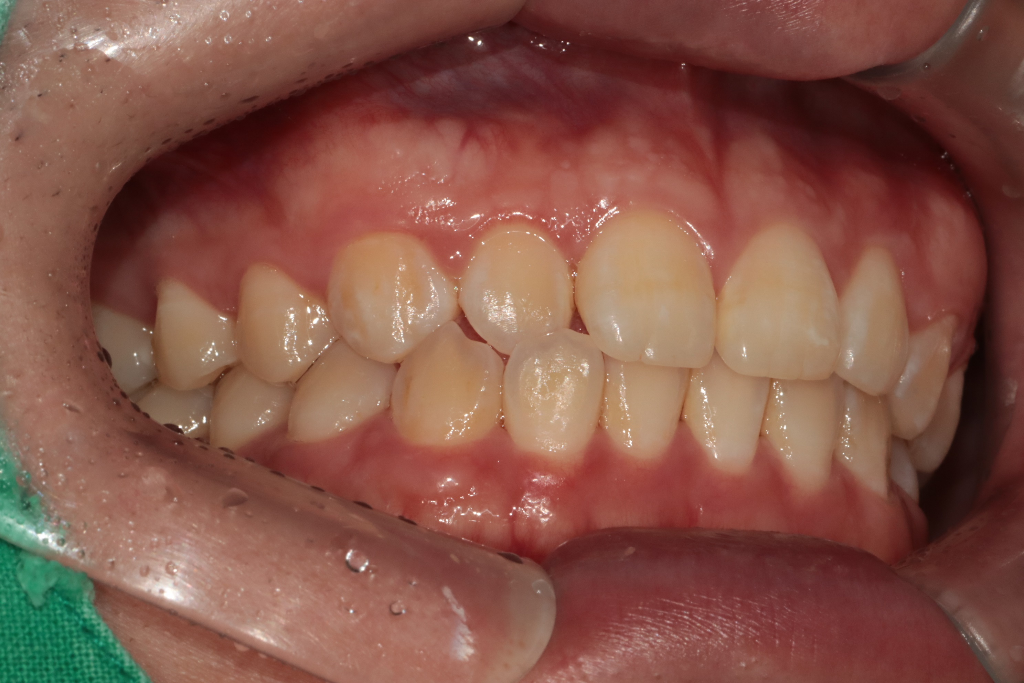
치아상태와 치아교합 위아래가 긴밀한가요?

치아 위아래교합이 긴밀한가요?

교정치료해야 하는 상태인가요?

치아상태가 긴밀하면 치아를 다물때 불편하나요?

치조골격문제로 긴밀해진건가요?

  • 1번 째 사진
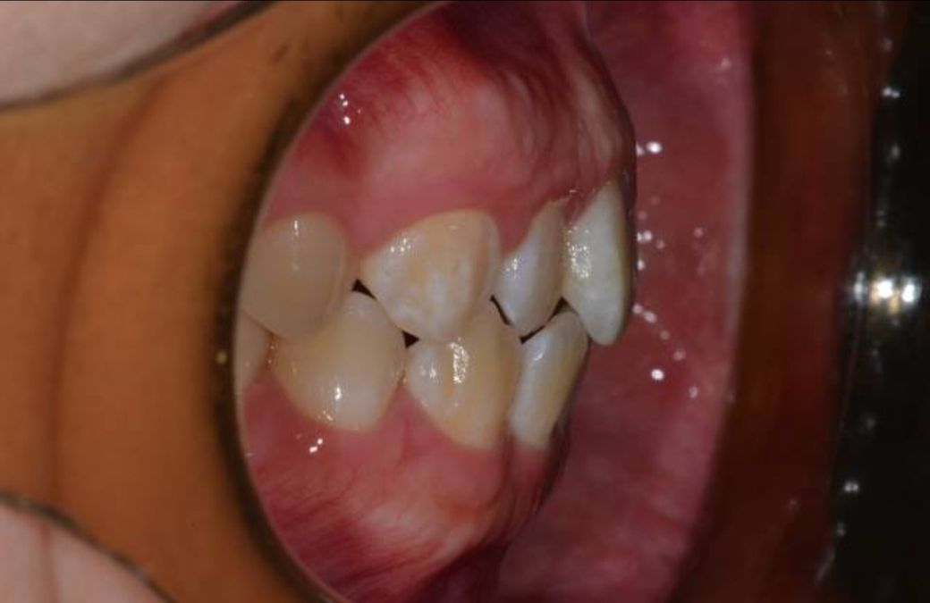
  • 2번 째 사진
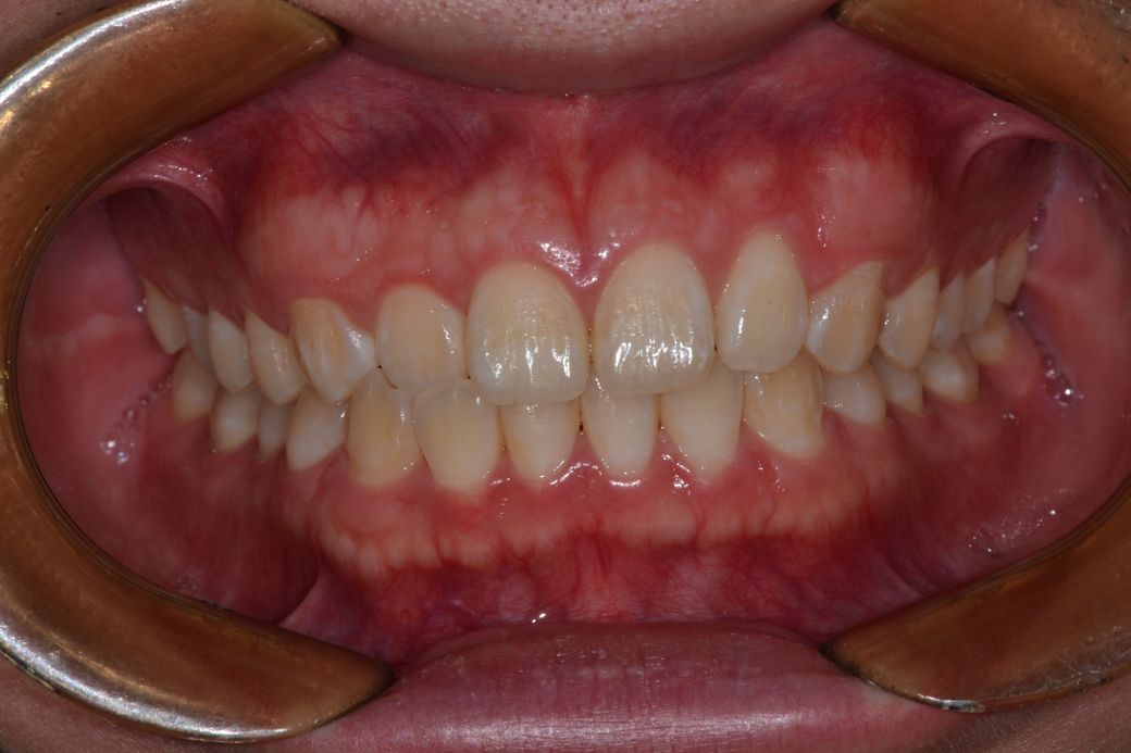
  • 3번 째 사진
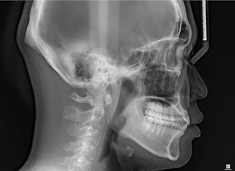
  • 4번 째 사진
  • 5번 째 사진
2개의 답변이 있어요!
  • 안녕하세요. 정진석 치과의사입니다.

    현재 치열 상태에서는 교정을 쉽게 권하지 않으며 치열이 양호한 편입니다. 다만 본인이 불편한 부위가 있다면 치과 방문 후 이에 대한 검사를 해보는 것이 필요합니다. 치열 자체는 정상적입니다.

    아무쪼록 저의 답변이 문제 해결에 작게 나마 도움이 될 수 있기를 기원드립니다. 항상 건강하고, 행복하세요^^

    정진석 치과의사 드림

  • 안녕하세요. 김철진 치과의사/경제·금융전문가입니다.

    치아 위아래교합이 긴밀한가요?

    -사진때문에 그런지는 몰라도 교합시 치아가 약간 깊게 물리는거 같습니다.

    교정치료해야 하는 상태인가요?

    -긴민한것도 잇지만 오른쪽치아 쪽이 반대교합이 되고 있으니 교정을 상담해보세요.

    치아상태가 긴밀하면 치아를 다물때 불편하나요?

    -다물때자체는 크게 문제가 없지만, 긴밀한상태로 계속 지내다 보면 치아들이 힘을 많이 받기 때문에 예민해질수도 있습니다.

    치조골격문제로 긴밀해진건가요?

    -골격의 문제도 있을수도 있고, 치아 배열등 다양한 원인에서 나타납니다.