아하
  • 토픽

  • 스파링

  • 잉크

  • 미션


의료상담

날아다니는감자

날아다니는감자

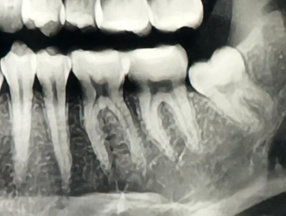
사랑니 발치 후 어금니 쪽 통증 욱신거림

사랑니를 발치한지 일주일짼데 어금니 쪽이 욱신거리네요. 통증도 있고 음식 씹을때도 가끔이지만 아파요. 이가 맞닿을때 느낌이 이상하기도 합니다.

매복 사랑니에 신경관에 가깝다곤 했는데 원래 어금니도 같이 아픈건지 모르겠네요.

엑스레이도 찍었고 검진받을땐 어금니에 대해서는 별 말씀 없으셨습니다. 충치일 가능성도 있을까요?

  • 1번 째 사진

4개의 답변이 있어요!

  • 김철진 치과의사

    김철진 치과의사

    가까운우리치과

    안녕하세요. 김철진 치과의사입니다.

    사랑니 발치한곳의 잇몸이 다 아물려면 시간이 한달정도 걸립니다. 아직은 잇몸이 다아물지 않아서 그럴수도 있습니다.

  • 안녕하세요. 안상우 치과의사입니다.

    사랑내를 발치하고 나면 사랑니를 발치한 주변의 치아가 보편감이 있을 수 있습니다. 이런 경우 해당 부위의 지하에 너무 강한 힘이 가해지지 않도록 하는 것이 좋으며 해당 부위의 자극이 되지 않도록 하는 것이 좋습니다. 불편감은 대부분 해당 부위가 아물면서 괜찮아지는 경우가 많습니다.

  • 안녕하세요. 김지훈 치과의사입니다.

    사랑니 발치 후에 일시적으로 통증이 느껴질 수는 있습니다. 몇개월 정도 지나면 괜찮아질겁니다.

  • 안녕하세요. 최석민 치과의사입니다.

    일시적인 증상일 수도 있으나 씹을때 통증이 있는 것은 치주염 내지는 치아 크랙의 가능성이 있어보입니다 치과에서 정확한 검진을 받아보시기 바랍니다