아핫뉴스실시간 인기검색어
아핫뉴스 화산 이미지
화산 아이콘 11
적우 미스트롯4 우승
아하

의료상담

치과

보통은화사한핫도그
보통은화사한핫도그

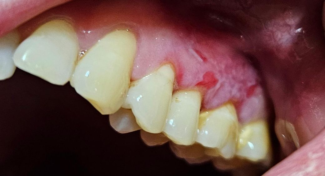
모든 잇몸에서 이런증상이 나타고 있습니다

3개월째 고통받고 있습니다 대학병원 진료도 받았지만 면역력 문제라고 편평태선이라고는 들었는데 그게 맞는건지 의문이 듭니다 양치할때 스케일링 받는것처럼 피가 잇몸에서 나옵니다

염증완화 해주는 가글만 처방받았는데 맞는걸까요?

  • 1번 째 사진
  • 2번 째 사진
  • 3번 째 사진
  • 4번 째 사진
1개의 답변이 있어요!
  • 안녕하세요. 최석민 치과의사입니다.

    사진만으론 lichen planus에 대한 확진은 어려우나 일단 가능성은 있어보이고, 스테로이드 약제를 통한 증상경감이 필요하고 내과도 가보셔야 합니다. 일단 구강내과 안가보셨으면 일반 치과 말고 먼저 여기 가서 진단 받아보실 것을 강력히 권고드립니다.

    1명 평가