아하
  • 토픽

  • 스파링

  • 잉크

  • 미션


의료상담

레알자부심이많은노새

레알자부심이많은노새

24.05.19

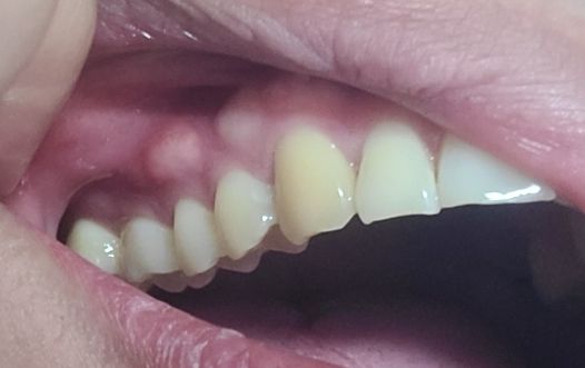
제 잇몸 상태가 괜찮은지 알고 싶습니다

30대입니다.

스케일링 했던 곳에선 잇몸 관련으로 별 말씀은 없으셨는데

뭔가 인터넷에 보이는거랑 제 잇몸 상태가 다른거 같아서 여쭈어봅니다.

만약 안 괜찮다면 제가 뭘 해야하는지 알고 싶습니다

  • 1번 째 사진
  • 2번 째 사진
  • 3번 째 사진
  • 4번 째 사진
  • 5번 째 사진
  • 6번 째 사진
  • 7번 째 사진

5개의 답변이 있어요!

  • 김철진 치과의사

    김철진 치과의사

    가까운우리치과

    24.05.20

    안녕하세요 치과의사 김철진입니다. 사진상으로 보면 잇몸은 큰 문제가 없어 보입니다. 지금처럼 관리를 하시면될것같습니다. 정기적으로 치과를 다니시면서 스켈링 및 검진을 받으시면될것같습니다.

    1. 전반적으로 위보다 아래 잇몸 퇴축이 보다 진행되었습니다.

    2. 보다 중요한 건 잇몸 깊이, 두께보다 잇몸 하방의 잇몸뼈 높이입니다. 이는 엑스레이 사진으로 확인할 수 있습니다.

  • 사진으로 봤을 경우에는 잇몸에 특별한 문제가 있는 것으로 보이지는 않습니다 하지만 주기적으로 치과에서 검진을 받고 스케일링을 받아 준다면 잇몸을 더 건강한 상태로 유지할 수 있을 것이라 생각됩니다.

  • 치조골이라고 하는 치아 밑의 잇몸뼈가 많이발달한 것으로 보이며 선천적인 경우가 많습니다.

    특별히 치료하지 않아도 되며 거슬린다면 깎을 수도 있습니다.

  • 현재 사진상으로 첫번째 사진에서 잇몸이 돌출된부위에 염증이 있을 가능성이 있기에 치과에 방문하여 진료를 받고 필요에 따라 잇몸치료가 필요로 될수 있습니다.

    궁금증 해소에 도움이 제 답변이 도움이 되셨길 바라며, '👍' 눌러주시길 부탁드립니다.