홈
토픽
스파링
잉크
미션
전문가 신청
베리몰
나도 질문하기
의료상담
많이협력하는칼국수
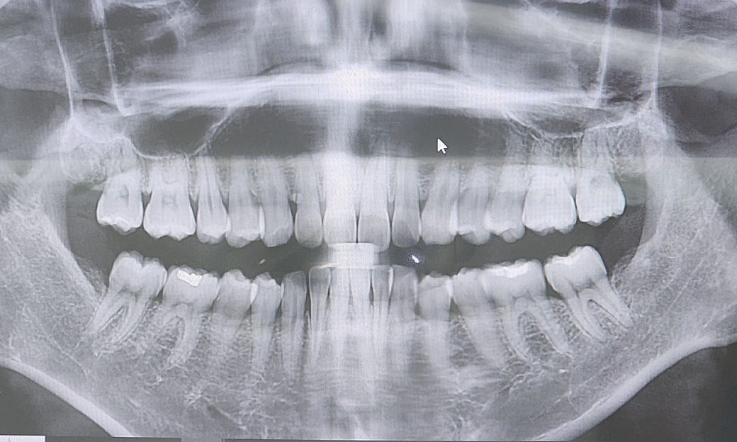
30대입니다 혹시 잇몸퇴축이 심한가요??ㅠㅠ 잇몸퇴축이 심하면 치과에서 치료받으면 다시 차오르나요?? 잇몸영양제도 추천부탁드려요 ㅠㅠ 송곳니쪽이랑 아래 어금니쪽이 뭔가 많이 내려간것처럼보이는데 ㅜㅜ 괜찮은건가요
사진 보기
3개의 답변이 있어요!
최석민 치과의사
강원도 원주의료원
∙
안녕하세요. 최석민 치과의사입니다.
나이에 비해 잇몸퇴축이 심한편은 아닙니다
아주 심한 잇몸퇴축에 대해서는 잇몸이식성형을 통해 재건하기도 합니다
평상시 관리 잘해서 지금 상태 유지하시기 바랍니다
비타민a,c가 도움됩니다
5.0 (1)
응원하기
안상우 치과의사
목동안치과의원
안녕하세요. 안상우 치과의사입니다.
사진으로 봤을 경우에는 잇몸 퇴축이 심한 것으로 보이지는 않습니다. 너무 걱정하지 않으셔도 될 것으로 생각됩니다.
평가
송우식 치과의사
솔플란트치과 경기도 성남시 모란역
안녕하세요. 송우식 치과의사입니다.
이정도면 정상적인 잇몸입니다. 한번 내려간 잇몸은 도로 회복안됩니다. 잇몸 내려가지 않게 평소 꼼꼼한 치솔질과 정기적인 스켈링 필요합니다. 아직까지 잇몸에 좋은 그런 영양제는 없습니다. 평소에 채소나 과일 자주 드시면 잇몸건강에 도움이 됩니다.