아핫뉴스실시간 인기검색어
아핫뉴스 화산 이미지
화산 아이콘 11
마이클 세일러 비트코인 전망
아하

의료상담

정형외과

풋풋한청가뢰110
풋풋한청가뢰110

발가락 골절이 2주만에 괜찮아지기도 하나요?

성별
여성
나이대
34

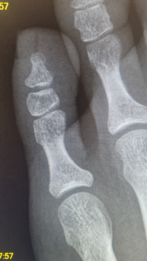
3월5일에 왼쪽 새끼발가락을 다쳐서 3월6일에 5족지 근위지골 골절을 진단 받았습니다.

당시 의사선생님께서 엑스레이상 골절 의심부위도 보여주셨구요.

현재 발가락 테이핑 + 반깁스 유지한지 딱 2주째인데

오늘 찍은 엑스레이에선 눈을 씻고 찾아봐도 골절로 의심되는 부분이 안 보이는데 이럴 수도 있는걸까요?

아직 보행 시 통증은 간헐적으로 여전히 있는 상태입니다.





  • 1번 째 사진
  • 2번 째 사진
4개의 답변이 있어요!
  • 안녕하세요. 송진영 물리치료사입니다.

    작은 발가락 골절은 골절 정도가 경미하면 2주 정도 지나면서 엑스레이상 골절 선이 거의 안 보일 수도 있습니다.

    하지만 뼈가 완전히 붙은 것은 아니고 보행 시 통증이 남아 있는 상태는 정상적인 회복 과정일 수 있습니다.

    골절 주변 조직과 부기, 근육 긴장이 아직 남아 있어서 간헐적 통증이 나타납니다. 무리한 걷기는 피하고 테이핑이나 보호를 유지하며 점진적으로 활동을 늘리는 것이 안전합니다!

  • 안녕하세요. 아하(Aha) 의료분야 답변자 외과 전문의 배병제입니다.


    손가락, 발가락의 작은 골절은 질문자님의 나이대에선 2주정도만에 붙기도 합니다. 잘 회복되었으니 다행이지만 아직 불편한 증상이 남아있으니 발 사용은 조심하셔야 하겠습니다.


    저의 답변이 부족하겠지만 조금이나마 도움이 되셨길 바랍니다.

  • 안녕하세요. 김경태 의사입니다.

    미세골절이라면 엑스레이 촬영 각도에 따라서 안보일수도 있습니다.

    2주만에 골유합이 이루어지진 않습니다.

  • 올리신 엑스레이 사진을 통해서 보았을 때에는 골절 부위가 명확하게 보이지는 않습니다. 이전에 보였던 골절 소견이 애매하게 보여서 골절 같아 보였을 수도 있어 보입니다. 보통 골절이 2주 만에 눈에 씻은 듯이 사라지지는 않습니다.