아하
  • 토픽

  • 스파링

  • 잉크

  • 미션


의료상담

탈퇴한 사용자

탈퇴한 사용자

23.07.12

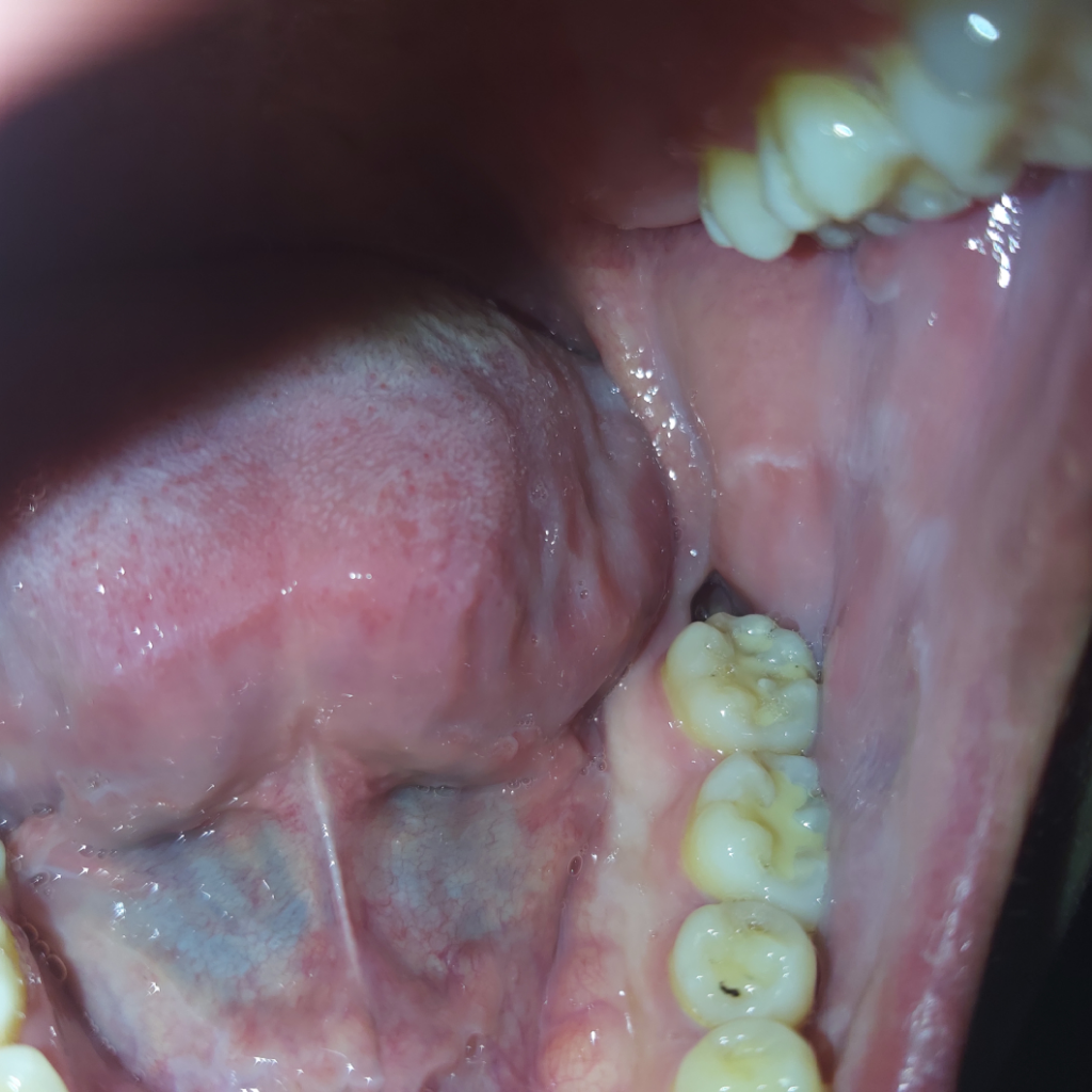
아래 매복 사랑니 발치 2주가 되었는데 발치부위 색이 이렇게 붉은지?

매복사랑니를 발치 후 약 2주가 되가는데 아직까지도 발치 부위가 불그스름해 질문드립니다. 잘 치유되고 있는 것 맞겠죠...?!




  • 1번 째 사진

4개의 답변이 있어요!

  • 김지훈 치과의사

    김지훈 치과의사

    메가

    23.07.12

    안녕하세요. 김지훈 치과의사입니다.

    사진상으로는 염증같은 특별한 이상이 보이지 않습니다. 잘 낫고 있는 것으로 판단됩니다.

  • 안녕하세요. 안상우 치과의사입니다.

    사진으로만 봤을 경우에는 발치와에 형성된 혈병이 제거된 상태로 보입니다.

    잇몸이 아무는데는 2주정도의 시간이 걸리지만 해당부위를 자주 자극하게 되면 시간이 더 걸릴수도 있습니다.

  • 안녕하세요. 송우식 치과의사입니다.

    2주 지난 상태이면 정상적으로 아물고 있는 것입니다. 어느정도 다 아무는데는 몇개월이 걸립니다. 아직까지는 건드리면 피가 나고 아플 수도 있지만 별다른 문제 되지 않습니다.

  • 안녕하세요. 김철진 치과의사입니다.

    2주정도면 아직은 상처가 잇을 시기입니다. 상처는 최소 한달이상은 지나야 괜찮아 지실꺼에요.