아핫뉴스실시간 인기검색어
아핫뉴스 화산 이미지
아하

의료상담

치과

대체로친절이넘치는한라봉
대체로친절이넘치는한라봉

인레이해야할까요? 치과마다 다르게얘기해요ㅜ

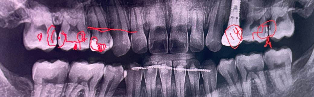
충치 진단받고 한곳에서는 인레이치료받아라하고 걱정되서 다른치과갔더니 좀더지켜보자하네요ㅜ 어찌할지모르겠는데 알려주시면감사하겠습니다

  • 1번 째 사진
3개의 답변이 있어요!
  • 안녕하세요. 김철진 치과의사입니다.

    기존에 치료를 햇던 부분 아래부분에 충치가 다시 생긴거 같고 치아 사이에도 충치가 잇는것같습니다. 치료가 필요해 보입니다.

  • 안녕하세요. 송우식 치과의사입니다.

    x-ray에서 치아와 치아 사이 즉 인접면에 충치가 보입니다. 충치가 보이니 치료해야 합니다.

  • 안녕하세요. 최석민 치과의사입니다.

    엑스레이상 충치가 없는것은 아닙니다 다만 그걸 지켜보느냐 바로 치료하느냐는 치과의사마다 판단이 다를 수 있습니다