의료상담
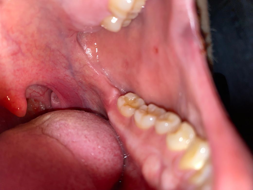
어금니 쪽 잇몸 끝에 하얀색이 있습니다
안녕하세요
최근 몇달간 왼쪽 입꼬리 구각염도 생기고 왼쪽 잇몸이 좋지 않습니다..
저기 어금니 잇몸 끝에 하얀게 있는데요 만져뷰면 딱딱합니다. 혹시 어금니 치아가 잇몸 밖으로
돌출된건 아닌지 궁금합니다..
55글자 더 채워주세요.
4개의 답변이 있어요!
안녕하세요. 김철진 치과의사입니다.
저부위는 잇몸뼈가 튀어 나온곳으로 상대적으로 잇몸이 얇아서 저렇게 보이는겁니다. 너무 걱정은 안하셔도 될것같습니다.
안녕하세요. 송우식 치과의사입니다.
사랑니가 매복되어 있다가 올라올 가능성도 있기에 우선 치과에서 엑스레이 촬영 및 검사를 받고 확인해보는 것이 좋습니다.
궁금증 해소에 도움이 되시길 바라며, 도움이 되신 경우 '추천' 부탁드립니다.
안녕하세요. 안상우 치과의사입니다.
발치 하고 나서 해당 부위에 치조골이 날카로웠다면 안쪽으로 튀어나온 경우가 있습니다 대부분은 큰 문제가 되지 않지만 불편감이 있다면 해당 부위를 다듬어 줄 수 있습니다 자세한 확인을 위해서 치과에서 진료를 받아 보세요
안녕하세요. 최석민 치과의사입니다.
특별한 병적 증상으로 보여지지는 않고 잇몸뼈가 튀어나온 것으로 보여집니다
잇몸뼈가 돌출된 부위에서 잇몸이 얇아 잇몸뼈가 비춰보이는 것일 수 있습니다

