아핫뉴스실시간 인기검색어
아핫뉴스 화산 이미지
화산 아이콘 11
비트코인 나스닥 급락 하락
아하

의료상담

치과

여전히환한치즈라면
여전히환한치즈라면

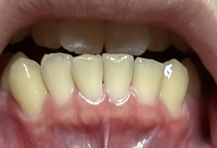
송곳니 잇몸퇴축 심한편인가요?? 21살입니다.

치아 배열때문에 송곳니쪽 잇몸이 많이 내려간거같아요

거울볼때마다 속상해요

  1. 제 나이가 21살인데 저정도면 많이 내려간거겠죠??

  2. 관리방법은 양치 살살하는것말고는 따로 없을까요??

  3. 나중에 나이들었을때 흔들거리거나 치아가 빠질수도 있나요??

  • 1번 째 사진
5개의 답변이 있어요!
  • 안녕하세요. 안상우 치과의사입니다.

    사진으로만 봤을 경우에는 잇몸 퇴축이 크게 진행된 것으로 보이진 않습니다 양치질을 할 때 잇몸에 자극이 세게 되면 잇몸이 퇴축될 수 있기 때문에 잇몸에 너무 많은 힘이 가해지지 않도록 하는 것이 좋습니다

  • 안녕하세요. 김철진 치과의사입니다.

    사진상으로 잇몸퇴축이 심해보이진 않습니다. 걱정하지 않으셔될것같습니다. 양치를 잘하시고 정기적으로 치과를 다니시면서 관리를 받으시면될것같습니다.

  • 안녕하세요. 김지훈 치과의사입니다.

    별로 심하지 않으며 양치질 잘하고 주기적으로 스케일링 받으면 됩니다. 그정도 걱정할 단계 아닙니다.

  • 안녕하세요. 정진석 치과의사입니다.

    1. 송곳니 부위는 다른 부위에 비해 잇몸이 조금 내려가 보이게 됩니다. 이는 송곳니의 뿌리가 길기 때문입니다.

    2. 양치를 바스법 양치를 권해드립니다.

    3. 송곳니는 쉽게 빠지지 않습니다.

    아무쪼록 저의 답변이 문제 해결에 작게 나마 도움이 될 수 있기를 기원드립니다. 항상 건강하고, 행복하세요^^

  • 안녕하세요. 송우식 치과의사입니다.

    사진상으로 잇몸퇴축이 많이 심해보이지는 않으나, 양치시에 너무 쎈 힘으로 양치를 하는 것은 피하고, 부드러운 칫솔모로 양치를 하길 권합니다. 주기적으로 치과를 방문하여 검진 및 스케일링 치료를 받길 권합니다.

    궁금증 해소에 도움이 되시길 바라며, 도움이 되신 경우 '👍 ' 눌러주길 부탁드립니다.