아하
  • 토픽

  • 스파링

  • 잉크

  • 미션


의료상담

와일드한홍학68

와일드한홍학68

24.03.20

흉부 ctGGA 어떤건가요? 조금은 안심할수 있을까요?

성별

남성

나이대

67

기저질환

고혈압 비염

복용중인 약

혈압약

아버지가 오래세월 흡연을 하셨고, 기침이 많아지셔서 영상의학과에가서 ct를 찍었습니다.

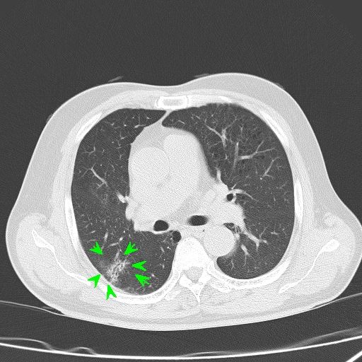
폐 RUL 에 GGA 가 있다는 소견서를 받았습니다.

흡연을 인해서 간질성폐질환이라는 것도얻었고 기흉인지 폐기종이지 도 조금 구멍도 많이 보엿고,

문제는 GGA 라는게 보인다고하네여. 일단 대학병원에 예약해놔서 내일 당장가는데 불안해서요.

기침,가래 , 누우면 기침. 약국에서 ct 찍기전에 기침 줄어드는약 드셨고 ,많이좋아졌지만 여전히 기침을하십니다.

비염때문에 그런것인지 . 어머니를 제외하고 모두 비염이고 요즘 날씨가 그런지 저도 비염이 심해지긴했습니다.

CT 이상소견 3~4CM 크기 신생불명

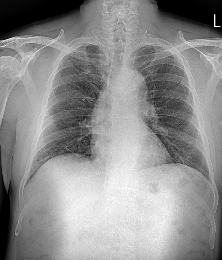
ct전 엑스레이

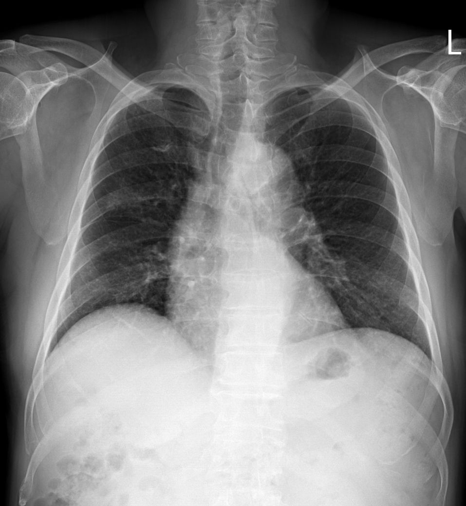
작년 4 월 엑스레이

추가" 이사와서 화목보일러 사용하시느라 재를 많이 드셨습니다.

12~4년전에 늑골 고절을 겪으셨습니다.

  • 1번 째 사진
  • 2번 째 사진
  • 3번 째 사진

1개의 답변이 있어요!

  • 채홍석 가정의학과 전문의

    채홍석 가정의학과 전문의

    유성선병원

    24.03.20

    안녕하세요. 채홍석 의사입니다.

    size가 커서 문제가 있을 것 같습니다

    내일 나쁜 이야기가 나올 가능성도 염두에 두셔야 할 것 같습니다

    좋은 결과가 있기를 빌겠습니다

    추천 좋아요 부탁드립니다.