아하
  • 토픽

  • 스파링

  • 잉크

  • 미션


의료상담

귀중한말똥구리93

귀중한말똥구리93

딱딱한거 깨물어서 위쪽 앞니 두개가 쑤시네요

병원에서는 이상없다고 하셨는데

혹시나 싶어서 사진을 한번 올려봅니다

아픈건 약간 쑤시는 정도인데

최근 인터넷 검색해보니 뿌리에 크랙이 생길수도 있다고 들어서 걱정되네요

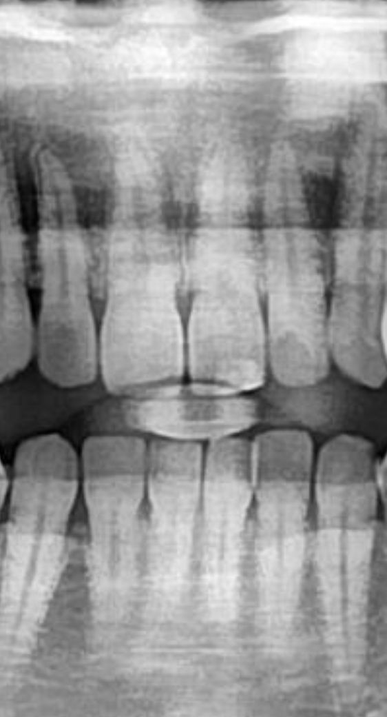
  • 1번 째 사진

3개의 답변이 있어요!

  • 김철진 치과의사

    김철진 치과의사

    가까운우리치과

    안녕하세요. 김철진 치과의사입니다.

    씹을때 불편한경우는 교합이 긴밀해서 치아가 예민해져서 그럴수도 있고, 치아에 금이가서 그럴수도 있습니다. 2주정도 지켜보고 증상이 호전되지 않거나 더 심해지면 금이갓을 가능성이 높습니다.

  • 안녕하세요. 송우식 치과의사입니다.

    딱딱한 것 깨물어서 불편하다는 것은 깨물다가 치아가 약간 흔들거려서 그런 것이니 2-3주 지나면 대부분 저절로 좋아집니다. 크랙이 생겼을 가능성은 희박합니다.

  • 안녕하세요. 김지훈 치과의사입니다.

    사진상으로는 문제가 보이진 않습니다.

    증상이 계속나타나면 크랙도 의심해볼 수 있습니다