아핫뉴스실시간 인기검색어
아핫뉴스 화산 이미지
아하

의료상담

치과

되알진흰죽지125
되알진흰죽지125

교정변화 질문있습니다 봐주세요

기존교정을 끝냈고 사랑니 발치후 스크류추가교정을 하게되면 치아가 1~2mm정도 뒤로 들어간다는데 입을 들어가게 하고싶어서 하고 싶습니다

현재치과에서 대학병원 의뢰서를 줬는데 거기서 하던지 아니면 그만하던지 그런식으로 이야기하세요

제가 만족을 못할까봐 그렇다고는 하는데 선생님께서 실력이 안되서 그런것 같기도 해요

다른병원들에서는 된다고 했어요 그렇게 어렵지 않게 이야기 했어요 당긴후에 교합까지 맟출수 있다고 했습니다 현재 병원에서는 교합이 잘못되도 대부분 후에 점점 돌아오지만 그 돌아오는 정도를 만족할지 모르겟다 예측할 수 없다고 하세요 교합조정은 안되는 것 같고요

대학병원가서 현재병원에서 실력이 안되어 못할정도인지 아니면 어렵지 않은 건데 정말 제가 만족하지 못해서 그럴까봐 피하는 건지 알아봐야 할까요

가봐야 할까요 간다면 어떤 질문을 해야할까요

어떻게 보시는지요..

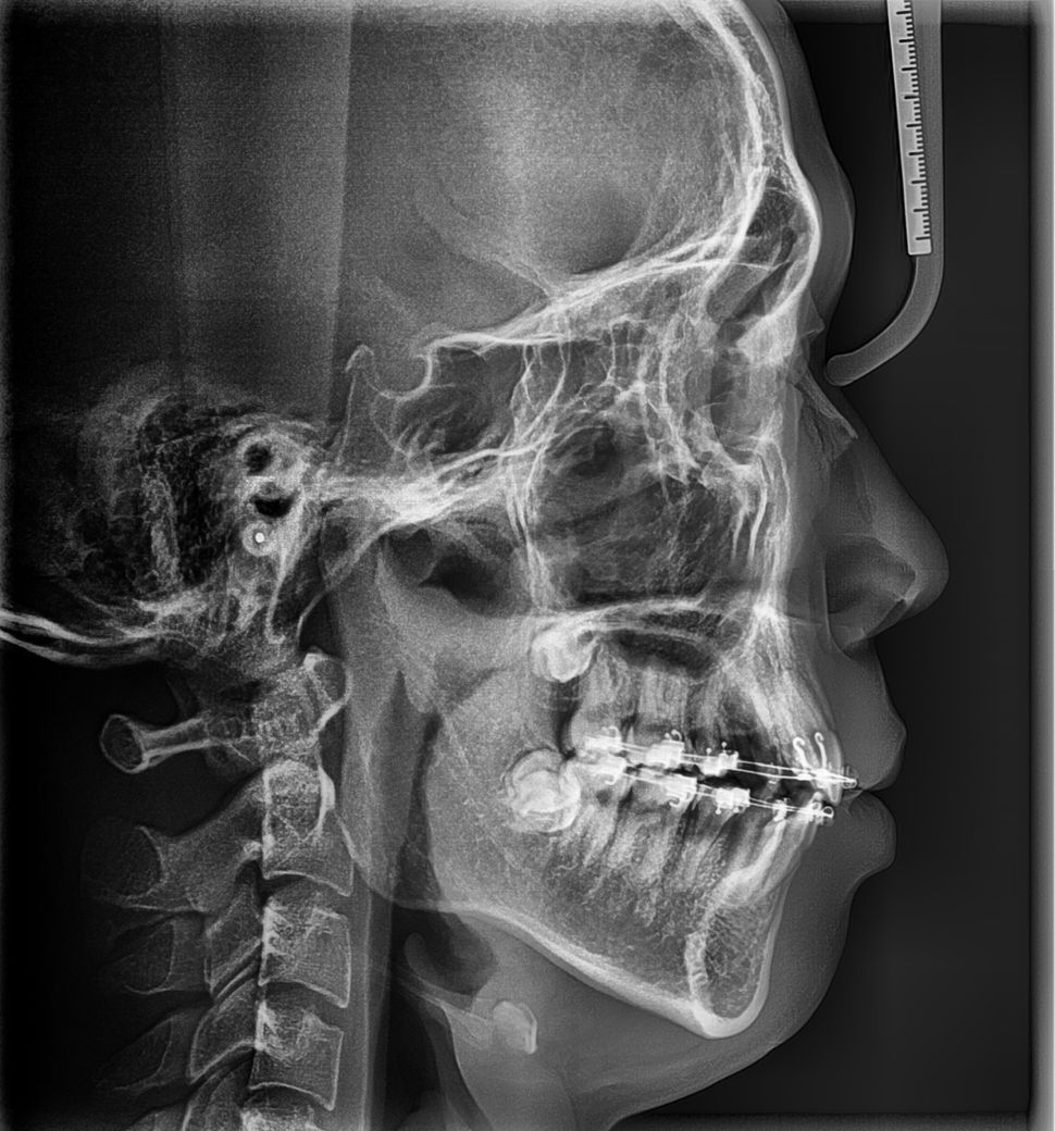
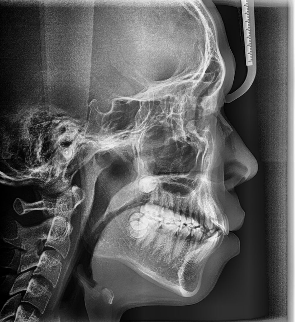
아래는 현재상태에요 여기서 1~2mm치아가 들어가면 입이 얼마나 들어갈지요..

리스크를 감수하고 해도 될지요

위3개는 교정전 사진이에요

교정 중 1년 8개월차 됬을때 사진 입니다

교정후 사진이에요

  • 1번 째 사진
  • 2번 째 사진
  • 3번 째 사진
  • 4번 째 사진
  • 5번 째 사진
  • 6번 째 사진
1개의 답변이 있어요!
  • 안녕하세요. 김철진 치과의사입니다.

    현재 다니시는 치과병원의 선생님께서는 현재 상태에서 더 추가적으로 하실게 없다고 생각하시는거 같습니다. 그렇다면 어쩔수 없이 다른병원을 가시던지 아니면 상급병원으로 가셔야될것같습니다. 가셔서 지금까지 치료 받은 내용과 환자분이 추가적으로 원하는 치료 방향을 설명하시고 상담을 받아보세요.