아핫뉴스실시간 인기검색어
아핫뉴스 화산 이미지
화산 아이콘 11
비트코인 폭락 경고
많이 본
아하

의료상담

치과

되알진흰죽지125
되알진흰죽지125

질문있습니다 교정질문입니다..

기존교정을 끝냈고 사랑니 발치후 스크류추가교정을 하게되면 치아가 1~2mm정도 뒤로 들어간다는데 입을 들어가게 하고싶어서 하고 싶습니다
현재치과에서 대학병원 의뢰서를 줬는데 거기서 하던지 아니면 그만하던지 그런식으로 이야기하세요
제가 만족을 못할까봐 그렇다고는 하는데 선생님께서 실력이 안되서 그런것 같기도 해요
다른병원들에서는 된다고 했어요 그렇게 어렵지 않게 이야기 했어요 당긴후에 교합까지 맟출수 있다고 했습니다 현재 병원에서는 교합이 잘못되도 대부분 후에 점점 돌아오지만 그 돌아오는 정도를 만족할지 모르겟다 예측할 수 없다고 하세요 교합조정은 안되는 것 같고요

대학병원가서 현재병원에서 실력이 안되어 못할정도인지 아니면 어렵지 않은 건데 정말 제가 만족하지 못해서 그럴까봐 피하는 건지 알아봐야 할까요

가봐야 할까요 간다면 어떤 질문을 해야할까요

어떻게 보시는지요..

선생님 말씀대로 하고싶습니다 현재병원에서는 더 이상 안 해줄려고 해서요 왜 그러는 지 모르겠습니다
옮기고 싶은데 비용문제 등 복잡해서요
대학병원 의뢰서 주고 거기서 하던지 그만하던지 그런식으로 말씀하세요
대학병원가서 현재병원 선생님이 무엇때문에 걱정하는 지 알고 다시 얘기 해야할까요
대학병원까지 갈 일은 아닌 것 같은데 현재병원선생님께서 왜그러는지 모르겠습니다 못해서 그런 걸지요 현재선생님을 설득해야하는지요
어떻게 해야할지요?


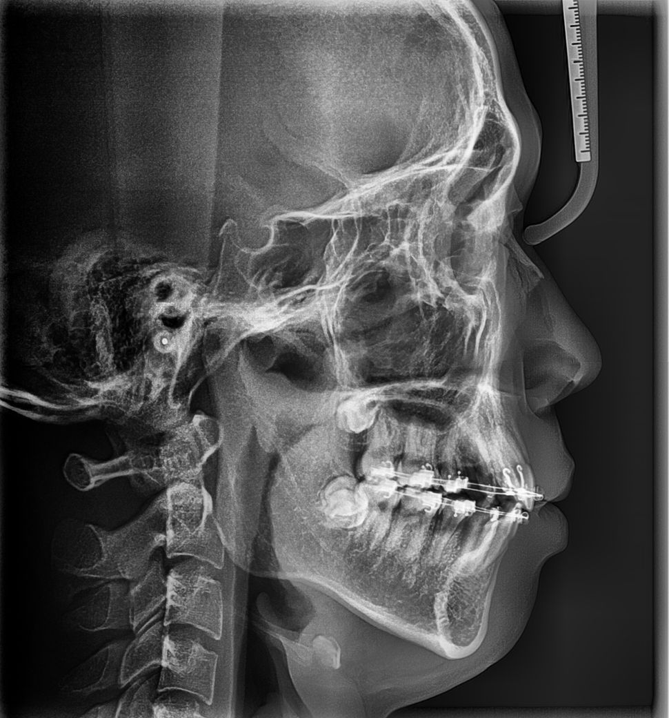
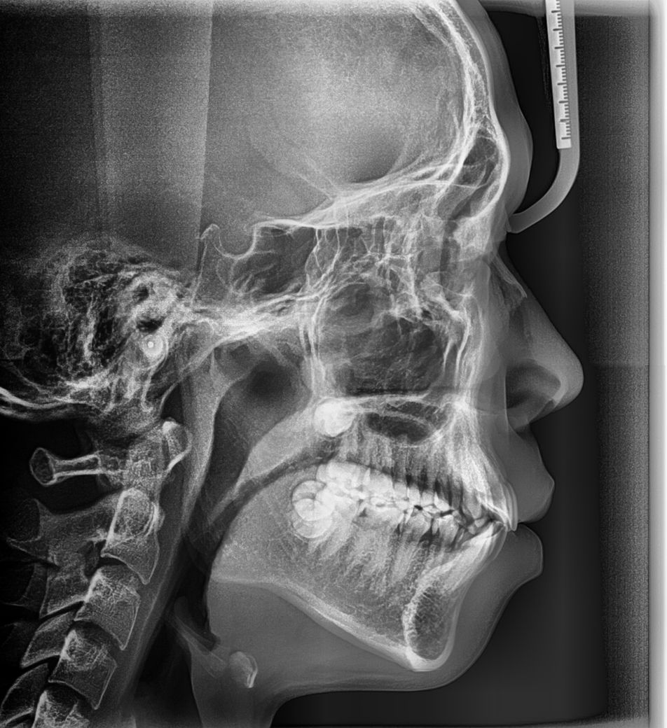
아래는 현재상태에요 여기서 1~2mm치아가 들어가면 입이 얼마나 들어갈지요..

리스크를 감수하고 해도 될지요


위에4개 는 교정 전 사진
그다음 2개는 교정중 1년 8개월 됬을때
다음은 교정후 현재상태에요

  • 1번 째 사진
  • 2번 째 사진
  • 3번 째 사진
  • 4번 째 사진
  • 5번 째 사진
  • 6번 째 사진
  • 7번 째 사진
  • 8번 째 사진
  • 9번 째 사진
  • 10번 째 사진
1개의 답변이 있어요!
  • 안녕하세요. 김철진 치과의사입니다.

    현재 다니시는 치과 의사 선생님은 환자분의 현재 상태에서 더 좋게 하는건 어렵다고 생각하신게 아닐까요? 그렇다면 어쩔수 없이 다른병원이나 상급병원에 가시는게 맞습니다. 가셔서, 기존치과에서 치료받은 내용과 환자분이 더 원하는 내용을 말씀하셔서 상담을 다시 받아보셔야될것같습니다.