아핫뉴스실시간 인기검색어
아핫뉴스 화산 이미지
화산 아이콘 11
이해찬 전 총리 조문
많이 본
아하

의료상담

치과

내내존중받는대추나무
내내존중받는대추나무

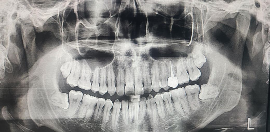
소구치 재신경치료 후 옆으로 밀면통증

좌측 2소구치 재신경치료한지 1년 지났어요

치료 직후랑 1년후랑 증상이 같아요 호전도없고 악화도 없고

씹을때 문제없고 옆으로 밀 때, 이빨끼리 딱딱 부딪힐때 울림이 느껴지면서 예민함이 느껴지는데 잇몸 문제나 교합문제 일 수 있나요? 가끔 어느날은 옆으로 밀거나 건드려도 통증 없는 날도 있습니다. 가끔이지만요. 이번에 크라운 떼게 된다면 남아있는 치아가 거의 없어 임플란트를 해야합니다 ㅜㅜ 이거 1년이나 지났지만 시간이 지나면서 나을 수 있을까요?

  • 1번 째 사진
1개의 답변이 있어요!
  • 안녕하세요. 최석민 치과의사입니다.

    엑스레이상 신경치료는 잘 마무리 되어 있는 것 같은데 혀로 밀었을때 불편감이 있는 것은 대체로 미세한 잔존 신경이 있어서 그렇습니다 재신경치료보다는 치근단절제술, 의도적재식술로 가야할 것 같습니다