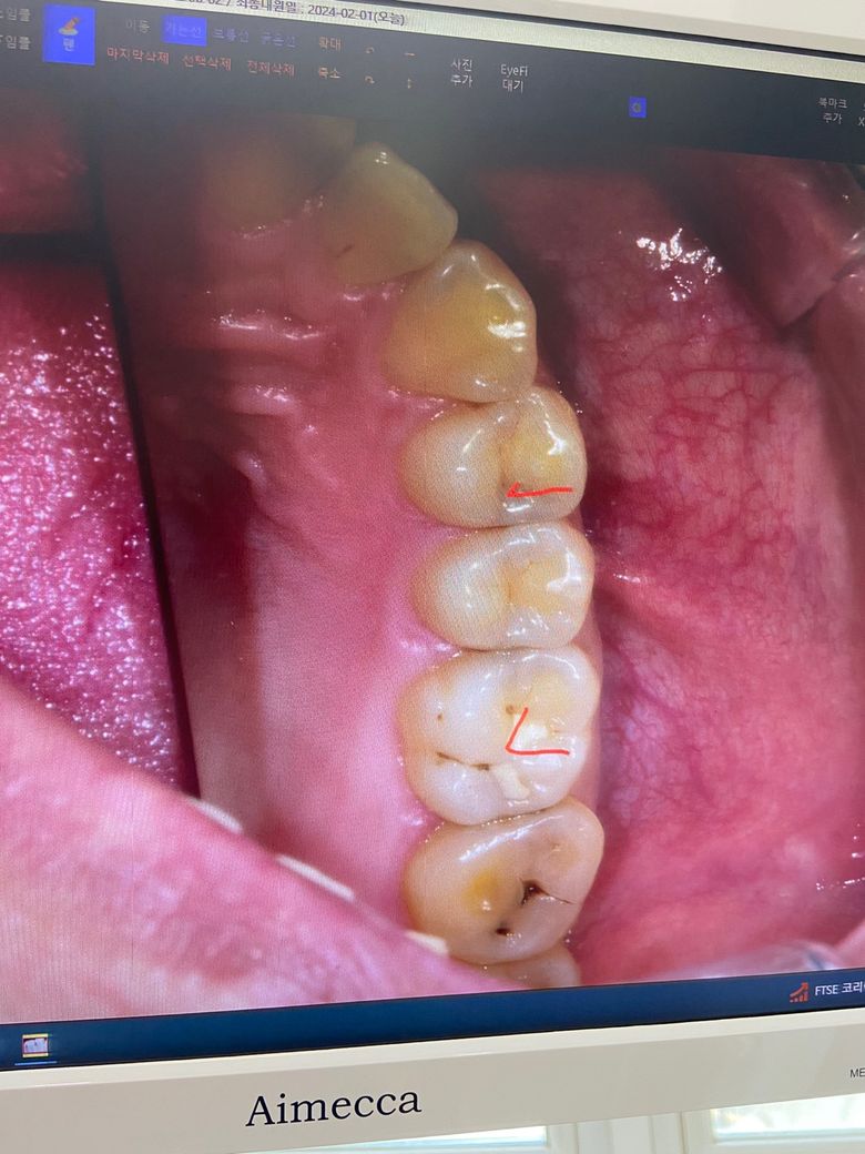
인레이와 레진치료가 맞는지 궁금합니다.
해당 사진에서 (우측 최하단 사랑니는 오늘 발치했습니다)
V 표기한 치아를 인레이 해야하고
V좌측의 두개의 치아는 레진으로 치료해야한다고 합니다.
질문1) 적절한 치료방법이 맞는지 궁금합니다.
그리고 작년 6월에 구강검진때는 치료해야할 치아 없다고 했는데 (지켜보자)
질문2) 오늘 구강검진시에 왜 갑자기 4개나 치료해야한다고 하는지 궁금합니다.
그렇게 빠른 시간안에 충치가 발현하고 크기가 커지나요?
매일 음식섭취 후 칫솔질과 치실질을 빼먹지 않고 하기에 조금 납득이 어려운 점이 있어서요
열심히 치실에 칫솔질 했는데.....
안녕하세요. 김지훈 치과의사입니다.
빠른 시간 내에 충치가 생길 수 는 있으며 사진상으로도 해당 치아들의 치료가 필요해보입니다.
안녕하세요. 안상우 치과의사입니다.
사진으로만 보기에는 어떤 치료를 하는것이 좋을지 확실히 알기가 힘듭니다.
보통 인접면에 충치가 생겼을 경우에는 인레이 치료를 하는경우가 많으며 그렇지 않은 경우나 범위가 넓지 않은 경우에는 레진치료를 하는 경우가 많습니다.
안녕하세요. 김철진 치과의사입니다.
엑스레이 사진을 찍어봐야 정확히 알수 잇겟지만 치아 사이에 충치가 잇는거 같습니다. 인접면 충치가 잇다면 인레이치료를 하셔야될것같습니다.
안녕하세요. 최석민 치과의사입니다.
눈으로 보이는 것보다 방사선 사진을 보면 치아 사이의 내부 충치가 좀 더 깊게 있을 양상으로 보입니다.
제1대구치 (6번째 치아)의 경우 기존 떼우는 치료를 했는데도 추가적으로 충치(이차충치)가 생긴 것을 감안하여 인레이 치료를 하자고 하신 것 같습니다.
제1소구치(4번째 치아)에서도 충치는 어느정도 있는 것으로 보이며 인레이가 아니라 레진으로 가능한 범주라면 레진으로 치료하면 됩니다.
제2소구치(5번째 치아)의 경우 충치가 의심되나 방사선 사진을 찍어 확인해봐야 하고
제2대구치(7번째 치아) 씹는면에도 약간의 초기 충치가 확인됩니다.
전반적으로 왼쪽 위 양치질에 있어서 꼼꼼함이 부족했던 것 같습니다. 6개월 사이에 충치는 어느정도 진행이 될 수도 있고 충치 활성도는 사람마다 다릅니다. 6개월 사이에 충치가 생긴건 아주 급격하게 진행된 건 아닙니다.
참고로 왼손잡이의 경우 왼쪽이 양치질이 덜 꼼꼼하게 되는 경향이 있습니다

