의료상담
55글자 더 채워주세요.
2개의 답변이 있어요!
안녕하세요. 안상우 치과의사입니다.
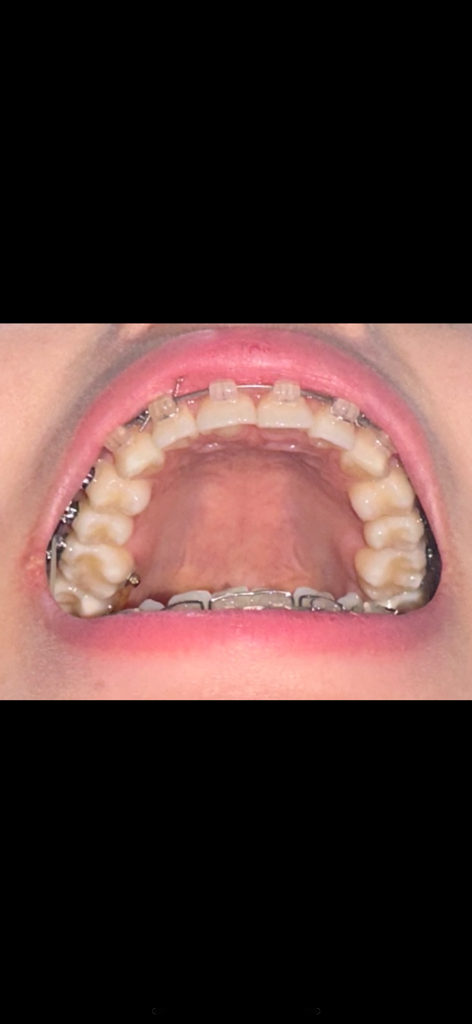
교정을 하는도중에 교합을 맞추기 위해서 치열이 바뀌는 경우도 있습니다.
일반적으로 교정을 할때는 치열을 중심을 맞추게 됩니다.
해당 사항에 대해서 치료를 받는 치과에 문의를 해보는것이 좋습니다.
안녕하세요. 김철진 치과의사입니다.
U자 모양이 중요한게 아니고 치아를 가지런히 하고 교합을 맞추어야 되기 떄문에 그럴수도 있습니다. 무조건 치아면이 평평하게 하는건 아닙니다.

