아하
  • 토픽

  • 스파링

  • 잉크

  • 미션


의료상담

운좋은가오리23

운좋은가오리23

25.05.15

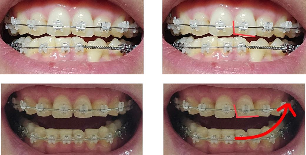
치아교정 마무리 단계인데 치아 앞니 끝 부분이 벌어졌어요.

엑스레이는 현재 사진이고

실제 치아 사진은 위는 교정 초기

아래는 현재 모습입니다.

제가 빨간선으로 구분하기 쉽도록 표시를 해놨는데,

교정 초기에 치아 각도를 보시면 정상적인 각도입니다. (제 추측입니다.)

교정 초기의 오른쪽 앞니(21번) 아랫면을 자세히 보시면 오른쪽보다 왼쪽이 더 높게 경사진 것을 보실 수 있습니다. (빨간선 표시 부분)

아마 이 점 때문에 치아의 각도를 반시계방향으로 돌린 것 같습니다. (치아 밑면을 수평으로 만들기 위해서)

그렇게 하다보니 치아가 오른쪽 방향으로 기울면서 앞니가 벌어진 것 같습니다.

치아의 컨택 포인트라는게 단순히 치아가 서로 만나는 지점을 말하는 거라면,

분명 치아 컨택 포인트가 낮은건 맞다고 생각합니다.

근데 만약 교정 초기 모습에서 치아 각도를 반시계 방향이 아닌

시계방향으로 기울인다면(교정 전 상태 기준으로 더 돌리긴 힘들거 같긴 하지만 설명을 위해 이론적으로),

컨택 포인트가 더 높아지는게 아닌가 하는 생각을 해봤습니다.

물론 제 오른쪽 앞니 치아는 근심 우각이 둔각이라 비현실적으로 꺾어야 하겠지만요

질문 정리

  1. 변경 전 치아각도와 변경 후 치아각도 중 어떤 것이 더 올바른 각도인가요? (치아 밑면 상관 없이)

  2. 만약 변경 후의 치아각도가 '의도한 것'이고 '맞다고' 한다면, 그 이유를 알 수 있을까요?

감사합니다.

  • 1번 째 사진
  • 2번 째 사진

1개의 답변이 있어요!

  • 안상우 치과의사

    안상우 치과의사

    목동안치과의원

    25.05.16

    안녕하세요. 안상우 치과의사입니다.

    교정을 할 때 치아의 위치는 단순히 눈으로 보이는 것으로 결정을 하지 않습니다.

    치아는 아래치와 교합이 되기 때문에 아래치아와의 위치를 고려해서 최선의 방법으로 치아를 배열하게 됩니다.

    사진으로 봤을 경우에는 크게 문제가 되지는 않을 것으로 생각됩니다. 교정을 하는 과정에서 잇몸이 내려가거나 한다면 치아 사이의 공간이 넓어 보일 수도 있습니다.