아핫뉴스실시간 인기검색어
아핫뉴스 화산 이미지
화산 아이콘 11
이노스페이스 주가 급락
아하

의료상담

치과

똘똘한벌새249
똘똘한벌새249

사랑니 발치를 2개를 했으나, 실제로는 1개만 발치되었습니다.

2달 전 좌측 상하 사랑니 2개를 발치 했습니다.

아래쪽 사랑니 발치가 1시간 가량 걸려 많이 고생했습니다.

위쪽은 별 느낌 없이 끝이 나서 끝나자마자 간호사분께 위쪽도 발치가 되었냐고 질문했는데 위쪽은 사랑니가 뽑기 쉬워서 금방 발치했다는 답변을 받고 2개 모두 발치가 되었다고 알고 있었습니다.

오늘 사랑니 발치한쪽이 너무 시려서 다른 병원에서 검사를 받기 위해 xray 촬영을 했는데 위쪽 사랑니가 그대로 남아있었습니다.

분명히 사랑니를 2개 다 발치 한 것으로 알고 있어서 사랑니 발치한 병원에 전화해서 지난번에 발치한 치아가 어떤거냐고 물어보니, 좌측 상하 2개를 발치했다는 답변을 받았습니다.

인터넷에서 진료 내역서를 받아보니 진료 내역서에도 상하 마취와 상하 사랑니 발치 내역이 있는데. 이 경우 어떻게 해야 되나요?

해당 병원은 더 이상 신뢰가 가지 않아 발치를 해준다고 해도 발치를 못받을 것 같습니다.

발치할 때 2개 발치에 대한 비용을 지불했었는데 환불이 가능 할까요?

처음에 2개 모두 발치했다면 지금쯤 많이 아물었을텐데. 추가적으로 발치하면 고통과 시간이 배로 들텐데 이에 대한 보상도 받을 수 있을까요?

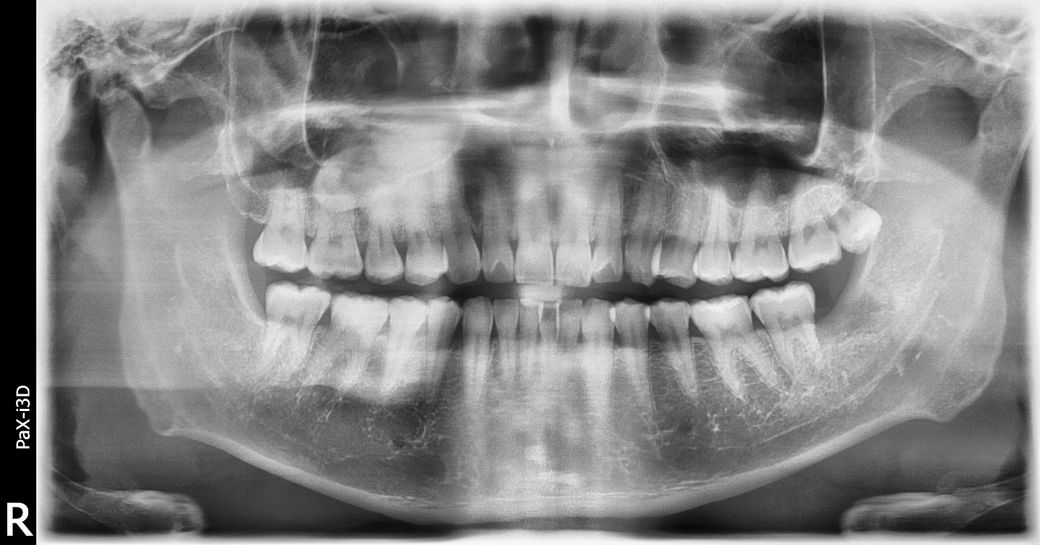
  • 진료내역

  • 사랑니 발치 전

  • 사랑니 발치 후

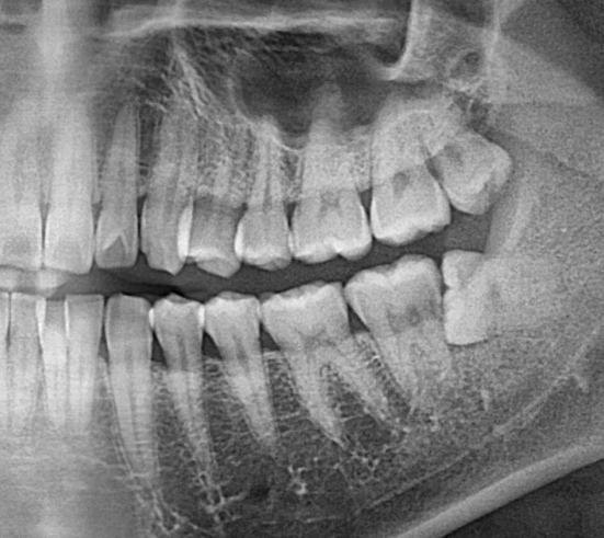
  • 1번 째 사진
  • 2번 째 사진
  • 3번 째 사진
4개의 답변이 있어요!
  • 안녕하세요. 김철진 치과의사입니다.

    좌측 상악 사랑니는 발치가 안된거 같습니다. 이부분은 환불을 문의 하셔서 받으셔야될것같습니다 .

  • 안녕하세요. 안상우 치과의사입니다.

    좌측 상악의 사랑니가 남아 있습니다 사랑니를 뽑지 않았다면 나중에 뽑아도 되기 때문에 치료를 받았던 치과에서 문의를 해 보는 것이 좋습니다

  • 안녕하세요. 김지훈 치과의사입니다.

    환불 받으시면 됩니다. 아마 아래 사랑니에 시간을 많이 쏟느라 잊으신 듯 합니다.

    보상 문제는 힘들 것 같긴합니다.

  • 안녕하세요. 최석민 치과의사입니다.

    왼쪽 위 사랑니 (사진상 오른쪽 위) 는 그대로 남아있네요.

    진료내역상 보면 위,아래 사랑니 발치가 2개를 한 것이 맞으므로 이는 문제가 될 수 있는 부분입니다.

    치과에 상세한 설명을 요구해보세요.