아하
  • 토픽

  • 스파링

  • 잉크

  • 미션


의료상담

탈퇴한 사용자

탈퇴한 사용자

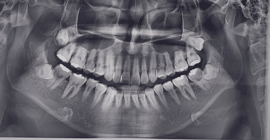
엑스레이 사진상 충치가 있는지 궁금합니다





엑스레이 사진에 충치가 있는 지 궁금합니다.

이렇다 한 통증은 없습니다만

일반인이라 충치 보는 법을 알아도

잘 색별해낼 수가 없더라구요

궁금합니다.

  • 1번 째 사진

3개의 답변이 있어요!

  • 김철진 치과의사

    김철진 치과의사

    가까운우리치과

    안녕하세요. 김철진 치과의사입니다.

    엑스레이 상으로 치아 사이에 충치가 의심되는 부분이 몇군데 잇기는 하지만, 정확한건 더 작은 엑스레이 사진을 찍어봐야 알것같습니다.

  • 안녕하세요. 안상우 치과의사입니다.

    엑스레이상이 큰 충치는 없어보입니다.

    이전에 충전한 재료 주변에 방사선투과성이 보이기는 하는데 이부위는 육안으로 직접 확인을 해야 알수 있을것 같아요.

  • 안녕하세요. 송우식 치과의사입니다.

    엑스레이상으로는 충치를 확인하기는 어려우며, 육안으로는 표면에 검은색으로 썩은부위가 나타납니다. 하지만 육안으로 충치가 구분이 어려울수 있기에 보다 정확한 진단을 위해 치과진료를 받길 권합니다

    궁금증 해소에 도움이 되시길 바라며, 도움이 되신 경우 ‘추천’ 부탁드립니다. 감사합니다.