아핫뉴스실시간 인기검색어
아핫뉴스 화산 이미지
아하

의료상담

치과

최고로인사이트있는매운탕
최고로인사이트있는매운탕

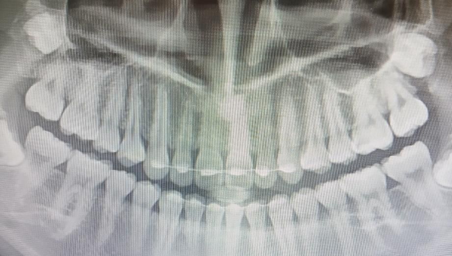
치아 엑스레이인데 충치 없다했는데 아파요ㅠ

한달전쯩 엑스레이인데 치과쌤이 충치 안보인다고 하셨거든요?? 근데 입 벌릴 때마다,그냥 있어도 왼쪽 어금니랑 잇몸사이가 아파요ㅠㅠ 엑스레이 상으로 충치 없는거 맞아요?

  • 1번 째 사진
2개의 답변이 있어요!
  • 안녕하세요. 김철진 치과의사입니다.

    엑스레이 상으로 심각하거나 눈에 뛸만한 충치는 있어 보이진 않습니다. 잇몸이 안좋아서 그럴수 잇으니 잇몸치료를 받아보시는게 좋을것같습니다.

  • 안녕하세요. 최석민 치과의사입니다.

    왼쪽 위 첫번째 큰 어금니가 약간 의심되긴 하나 그보다는 현재 맹출중인 사랑니가 통증을 유발하는 것일 수도 있을것 같습니다