아하
  • 토픽

  • 스파링

  • 잉크

  • 미션


의료상담

다소화기애애한감자탕

다소화기애애한감자탕

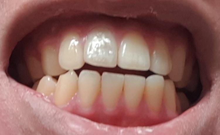
잇몸이 많이 내려간거 같습니다 확인부탁드립니다

잇몸이 많이 내려간걸까요 ㅠㅠ

침살킬때 아래쪽 앞니를 혀로 미는 습관이 있어 조심중이긴 합니다

손으로 잡고 흔들면 생각보다 많이 흔들려 불안하네요

혀로 밀면서 삼키면 약간의 통증? 같은게 있습니다

스케일링은 약 3주전에 받은상태입니다

뼈 위치도 많이 낮은거 같은데 심각한 정도 인가요?

아직 25인데 벌써부터 잇몸이 내려가있는거 같아 걱정됩니다

  • 1번 째 사진
  • 2번 째 사진
  • 3번 째 사진

2개의 답변이 있어요!

  • 전택근 치과의사

    전택근 치과의사

    국민건강보험공단 일산병원

    안녕하세요. 전택근 치과의사입니다.

    첨부해주신 사진만 보았을 때에는 걱정하실 정도의 상태 아닌 것으로 보이며 치아를 흔들었을때 심한 동요가있는 것이 아닌 생리적인 동요도 정도 있는것으로 보입니다.

    너무 걱정하시지 말고 깨끗하게 잘 관리하시기를 바랍니다

    감사합니다.

  • 안녕하세요. 최석민 치과의사입니다.

    1. 잇몸 높이가 심하게 낮진 않습니다 잇몸뼈 높이는 20대 중반임을 고려하면 이제 좀 신경써서 관리를 해줄 필요가 있어보입니다

    2. 딱딱하거나 질긴 음식 자제하시고 1년에 한번은 치과가서 잇몸 정기검진 받으세요

    3. 혀는 의식적으로 입천장과 앞니 뒤 경계부분에 붙이고 침 삼키는 연습하세요 별 문제 아니고 습관 교정하면 됩니다

    4. 아래앞니 치아 뿌리가 좀 짧긴합니다 그래서 잇몸뼈 흡수가 심하지 않은 상태에서 치아 동요가 느껴질 수도 있을 것 같네요 뿌리는 유전적으로 짧을수도있고, 외상으로 흡수되었을수도 있고요