의료상담
55글자 더 채워주세요.
3개의 답변이 있어요!
안녕하세요. 정진석 치과의사입니다.
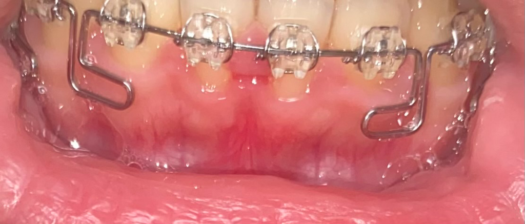
현재 사진으로는 정확한 판단이 어려우나 불편감이 있다면 조정이 필요할 것으로 보입니다. 교정 치과를 방문하여 현재 불편감에 대해 말씀하시고 이에 대한 수정이 필요할 것으로 보입니다. 빠른 시일 내에 교정치과 방문을 권해드립니다.
아무쪼록 저의 답변이 문제 해결에 작게 나마 도움이 될 수 있기를 기원드립니다. 항상 건강하고, 행복하세요^^
정진석 치과의사 드림
안녕하세요. 김철진 치과의사입니다.
잇몸이 약간 퇴축되신거 같습니다. 교정을 하다보면 치아를 강제로 이동시키기 떄문에 간혹 잇몸이 내려가는경우가 있습니다.
안녕하세요. 안상우 치과의사입니다.
교정고무줄이 잇몸을 너무 자극하게 되면 잇몸에 손상이 발생할수 있습니다.
불편감이 크다면 교정치과에서 진료를 받아 보는것이 좋습니다.

