아핫뉴스실시간 인기검색어
아핫뉴스 화산 이미지
화산 아이콘 11
이재명 부전시장 방문
아하

의료상담

치과

질문남김
질문남김

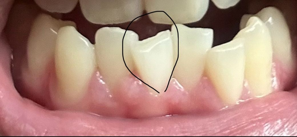
법랑질 부식인거 같은데 심한정도인지 알고싶습니다!

제목 그대로 법랑질 부식인거같은데 심한정도인가요? 양옆 치아도 아주 미세하게 부식된거같은데 치료 받을정도인가요? 불편하지않다면 치료 안받아도 되나요?

  • 1번 째 사진
5개의 답변이 있어요!
  • 안녕하세요. 김지훈 치과의사입니다.

    도 강한 칫솔질, 마모등의 이유로 법랑질이 시간이 지남에 따라 얇아질 수 있으며 불편하면 치료받으면 됩니다.

  • 안녕하세요. 김철진 치과의사입니다.

    치아가 부식된게 아니라 치열이 좋지 않아서 치아의 절다면이 깨진거 같습니다. 불편한게 없다면 크게 걱정은 안하셔도 될것같습니다.

  • 안녕하세요. 송우식 치과의사입니다.

    현재 사진상으로 부식이 되었다기보다는 마모가 일어난것으로 보입니다. 시리거나 불편감이 있지 않은 경우에는 조금더 지켜보아도 괜찮습니다. 치아를 갈거나 손톱을 물어뜯는 습관이 있는 경우 하지 않는 것이 좋으며, 너무 단단하고 질긴음식도 피하길권합니다.

    궁금증 해소에 도움이 되시길 바라며, 도움이 되신 경우 '👍 ' 눌러주길 부탁드립니다.

  • 안녕하세요. 최석민 치과의사입니다.

    치아마모, 교모가 다소 있는 것 같습니다 심하진 않습니다 치아 부식의 경우 특정 직업군, 식습관, 습관성 위산역류가 아닌 경우 흔하진 않습니다

  • 안녕하세요. 안상우 치과의사입니다.

    사진으로만 봤을 경우에는 범랑질이 많이 부식된 걸로 보이진 않습니다 일반적으로 복랑질이 부식되는 부위는 음식물이 많이 남아 있는 부분에 부식이 되는 경우가 많습니다 자세한 확인을 위해서 치과에서 진료를 받아 보는 것을 권유 드립니다