의료상담
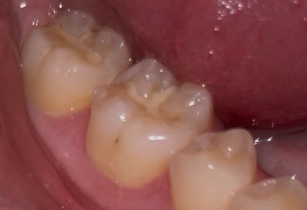
이정도 치아 깨진거 치료 받아야할까요? +충치
딱딱한거 씹다가 깨졌는데
가끔 뜨거운거 먹었을때시큰거리는 정도고
일상생활할때 불편한건 없습니다
1. 깨진거 치료 받아야할까요?
2. 저정도 깨짐은 어떻게 치료하나요? 아플까요?
2. 옆면에 있는 충치 상태도 좀 봐주세요 ㅠㅠ
55글자 더 채워주세요.
4개의 답변이 있어요!
안녕하세요. 김지훈 치과의사입니다.
추가적인 파절을 예방하기 위해서는 치료는 받으시는 게 좋겠고 인레이 해야할 것 같습니다.
안녕하세요. 김철진 치과의사입니다.
간단히 깨진부위라서 치과에 가셔서 검진후 치료를 하시면될것같습니다. 큰 치료는 아니니 가셔서 검진을 받아보세요.
안녕하세요. 안상우 치과의사입니다.
사진으로 봤을 경우에 치아가 깨진 것보다 부분 부분 충치가 보이고 있습니다. 충치가 있는 부분엔 이물질이 남아 있게 되어 충치가 진행될 수 있으니 충치가 있는 부분은 치료를 해주는 것이 좋습니다.
자세한 확인을 위해서 치과에서 진료를 받아보는 것을 권유드립니다.
안녕하세요. 최석민 치과의사입니다.
깨진 정도가 크진 않으나 한번 깨졌던 치아는 그 부위가 씹을때 힘이 강하게 가해진다는 것이므로 또 추가적으로 깨질 우려가 큽니다. 전반적으로 상태 보고 레진으로 떼우거나 아니면 크라운을 씌워주면 좋을 것 같습니다.
옆면 충치 큰 편은 아닙니다.

