아핫뉴스실시간 인기검색어
아핫뉴스 화산 이미지
아하

의료상담

치과

한참끼가넘치는시리얼
한참끼가넘치는시리얼

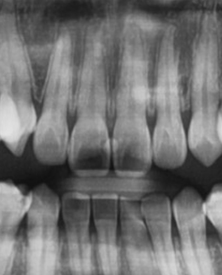
앞니 사이 충치 레진한 부분 치실했는데 조각 같은게 나왔어요(사진 첨부)

앞니 사이 충치로 레진을 했는데 사이를 꽉 막아놔서 치실 할 필요가 없다고 하셨어요.. 치실이 안 들어간다고 하니까 몇달 후면 들어가니까 그때 하고 안 들어가면 계속 안 해도 된다고 하셨거여

그래서 몇 번 해봤는데 걸리고 잘 안 들어가서 최대한 칫솔질만 했거든요

두 달 정도 지나서 치실 한번 해볼까 해서 했는데

완전 다 넣지도 않았고 적당히 넣었다 빼려는데 반투명?하고 얇고 판판한 조각같은게 딸려나왔어요

엥 하는 순간 조각은 떨어뜨려서 없어졌고요ㅜ

음식물은 아니에요.. 도자기조각같은..얇은 조각이었어요

사진 첨부해서 질문할게요...!

레진은 뒷면에서 했는데 앞에서 보면 뭔가 있어서 신경쓰였거든요

두 장은 어제 찍은 사진이에요..

뭐가 나온 걸까요...?

레진이 얇게 깨져나올 수도 있나요?? 레진 접착제일 수도 있나요? 일부러 저렇게 하셨던 걸까요?

뭔가가 나왔다면 레진에 문제가 될 수도 있을까요?

  • 1번 째 사진
  • 2번 째 사진
  • 3번 째 사진
  • 4번 째 사진
55글자 더 채워주세요.
5개의 답변이 있어요!
  • 안녕하세요. 김지훈 치과의사입니다.

    레진이 떨어진 것으로 보이진 않고 레진 접착제가 치아 사이에 있진 않습니다. 이물질 같습니다.

  • 안녕하세요. 송준범 치과의사입니다.

    수복후에도 치실이 들어가야 원래는 정상입니다. 안들어갔다면 치아 사이가 붙어있었다는 이야기인데 아마 말씀을 들어보니 레진끼리 붙은겉은 아니고 레진 접착제가 치아 사이에 달라붙어서 연결되어있었던 것 같은데요. 사진상으로 보기에는 레진 자체에는 큰 문제는 없는 것으로 봐서 아마도 레진접착제였을 가능성이 가장 높겠습니다. 

  • 안녕하세요. 송우식 치과의사입니다.

    레진조각 일부가 떨어졌을 가능성이 높으며, 레진 충전물은 시간이 지나면 마모가 되어 일부 떨어질수 있습니다. 현재 사진상 크게 문제가 있어 보이지는 않으나, 걱정이 되는 경우에는 치과에 방문하여 검진을 받아보길 권합니다.

    만족스러운 답변되셨으면 합니다.

    평가 감사합니다

  • 안녕하세요. 최석민 치과의사입니다.

    레진이 떨어지거나 하진 않은 것 같고요. 레진 붙이기 전 전처리 시의 접착제 잔여물일 수 있을 것 같습니다.

  • 안녕하세요. 안상우 치과의사입니다.

    레진을 하고 난다음에 레진 조각이 탈락할수도 있습니다

    사진으로 봤을 경우에는 크게 문제가 보이지는 않습니다.

    자세한 확인을 위해서 치과에서 진료를 받아보는 것을 권유드립니다.

PC용 아하 앱 설치 권유 팝업 이미지장도연이 추천하는 아하! 앱으로 편리하게 사용해 보세요.
starbucks
앱 설치하고 미션 완료하면 커피 기프티콘을 드려요!