함치성 낭종 사랑니 때문에 두통이 발생할수있나요?
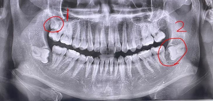
금일 사랑니 발치를 하러갔다가 2번 동그라미의 왼쪽사랑니가 함치성 낭종이라서
당일 발치가 어려워 다음주에 예약을 잡은 상황입니다. 3주전부터 왼쪽 귀위쪽부터
왼쪽 뒤통수만 욱신욱신 아픈데 사랑니 때문일 수 있나요?... 낭종이 악성이라
신경을 따라서 뇌까지 아픈걸까봐 너무 걱정됩니다 ㅠㅠ
+1번 동그라미도 사랑니인가요?
안녕하세요. 안상우 치과의사/경제·금융전문가입니다.
사랑니에 함치성낭종이 생기고 주변으로 염증이 발생했다면 경우에 따라서는 통증이 있을수도 있습니다.
사진으로 보이는 하악의 낭종은 경계가 명확해 보여서 악성의 가능성은 낮습니다.
안녕하세요. 정진석 치과의사입니다.
낭종은 악성은 아닙니다. 다만 현재 상황으로 보아 함치성낭으로 보여지기는 하나 정확한 진단을 위해서는 반드시 조직검사를 해보아야 합니다. 다만 파노라마 사진상에서는 함치성 낭일 가능성이 큽니다. 함치성 낭에 의해 사랑니 부위 통증이 생긴다면 귀나 뒤통수까지 방사통이 나타날 수도 있습니다. 다만 신경을 따라서 뇌까지 아픈 것은 아니며 방사통 형태로 나타나는 것으로 보여집니다.
1번 부위도 사랑니입니다.
아무쪼록 저의 답변이 문제 해결에 작게 나마 도움이 될 수 있기를 기원드립니다. 항상 건강하고, 행복하세요^^
정진석 치과의사 드림
안녕하세요. 송우식 치과의사입니다.
그림의 2번 왼쪽 아래 수평매복된 사랑니 주위에 작은 낭종(물혹)이 있습니다.
왼쪽 귀까지 아픈 이유는 왼쪽 아래 사랑니의 염증 때문이지 신경을 따라 퍼지고 그런 것은 아닙니다.
진통제 복용해 보시고 안되면 치과 내원하여 항생제 및 진통제 같이 처방 받으시고 통증 가라앉으면 사랑니 뽑으세요.
그림의 1번은 오른쪽 위 사랑니 입니다. 이 사랑니는 완전 매복되어 있습니다.
안녕하세요. 이정현 치과의사입니다.
왼쪽아래의 사랑니의 통증으로 후두부쪽만 아플 가능성은 별로 없습니다. 그쪽까지 통증이 있으려면 우선 사랑니주위가 아프고 붓고, 턱아래쪽이 부어야 합니다.
현재의 함치성낭종이 악성이 아니기 때문에 큰 걱정은 안하셔도 됩니다.
1번도 사랑니입니다. 감사합니다.
안녕하세요. 김바른 치과의사입니다.
함치성낭의 경우는 악성이 아닙니다.
파노라마 영상이라 정확하지는 않으나 사진상에서 1번도 사랑니로 보입니다.
귀쪽의 통증은 사랑니와 관련이 없을 가능성이 높다고 판단됩니다.
안녕하세요. 장인아 치위생사입니다.
감각이 관련된 곳에서 느껴지지 않고
다른곳에서 느껴지는
연관통 일수도 있어 보입니다.
치아의 문제로 인해 두통이 나타날수 있습니다.
1번도 사랑니가 맞습니다.
건강하세요^^
안녕하세요. 김철진 치과의사/경제·금융전문가입니다.
사랑니 함치성낭은 대부분 물혹같은거라 발치하시면 크게 문제는 없으실꺼에요. 악성이시면 대학병원을 가셔야죠. 당연히 사랑니때문에 불편하실수 있습니다.
1번은 사랑니 맞습니다

