의료상담
손톱을 물어 뜯다가 치아가 흔들립니다.
저는 중학교 3학년, 16세 남학생입니다.
어제 시험을 보다 불안해서 손톱을 물어뜯었습니다.
근데 갑자기 앞니에서 갑자기 탁 소리가 났습니다.
시험이 끝나고 확인해보니 해당 치아를 누르는 느낌이 이상했습니다.
보통의 치아는 치아끼리 누르면 단단한데, 해당 치아는 누를 때 치아가 잇몸으로 들어가는 느낌이 있습니다.
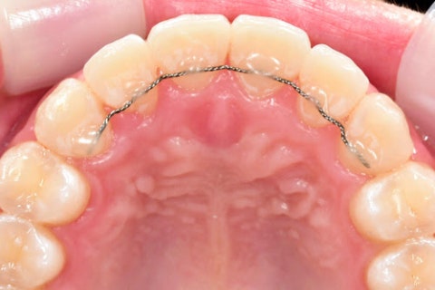
저는 현재 치아교정을 끝내고 앞니 안 쪽에 가는 와이어, 아래의 사진과 같은 고정식 유지 장치를 부착한 상태입니다.
인터넷에 서치해보니 치주인대가 손상을 입은 것일 수 있다고 하고, 치주인대는 시간이 지나면 회복한다고 합니다.
해당 치아는 심하지 않고 매우 미약하게 흔들림이 있습니다.
제 치아는 어떻게 되고, 어떻게 해야 할 지 모르겠습니다.
또 해당 치아를 방치하면 자연 치유가 되는 지도 궁금합니다.
치아 결손에 대한 불안감에 잠도 못자고, 시험 공부도 이어가지 못 하고 있습니다.
전문가분들의 답변이 정말로 시급합니다.
3개의 답변이 있어요!
안녕하세요. 최석민 치과의사입니다.
치아에 일시적으로 외부의 힘이 작용하여 그럴 수 있습니다 치아진탕의 상태의 경우 일반적으로 그냥 둬도 회복가능성이 있습니다 해당치아에 힘이 가해지지 않도록 2~3주정도는 특히 주의하시기 바랍니다
