의료상담
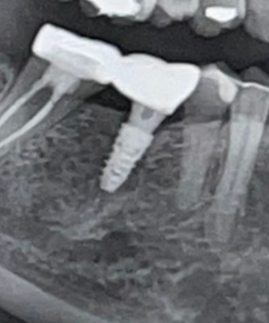
잇몸 뼈가 조금 녹아있다는 답변을 받았는데 재수술이 필요한 상태인가요?
임플란트 치아에 염증이있는지 질문을 드렸는데 주변 잇몸뼈가 녹아있다는 답변을 받았습니다. 혹시 임플란트 재수술이 필요한 상태인건지 궁금합니다... ㅜㅜ 재수술이 아니라면 어떤 치료가 시급한가요?
55글자 더 채워주세요.
5개의 답변이 있어요!
안녕하세요. 김지훈 치과의사입니다.
잇몸 뼈가 조금 녹아있다는 답변을 받았는데 재수술이 필요한 상태인가요?-> 아직은 괜찮아보입니다.
안녕하세요. 김철진 치과의사입니다.
사진상으로 임플란트가 크게 문제가 없어 보이니 잇몸치료를 받으면서 관리하시면될것같습니다.
안녕하세요. 안상우 치과의사입니다.
임플란트 뿌리 주변에 뼈가 손실된 것으로 보입니다. 특별한 불편감이 없다면 임플란트에 너무 강하지 않은 힘을 작용해서 사용하는 방법이 있습니다. 불편감이 있다면 임플란트 뿌리가 탈락된 것일 수 있으니 재수술이 필요할 수도 있습니다
자세한 확인을 위해서 치과에서 진료를 받아보는 것을 권유드립니다.
안녕하세요. 송우식 치과의사입니다.
x-ray 사진으로 볼 때 잇몸뼈 내려갔다는 증거 없습니다. 현재 불편한 것 없다면 그냥 두어도 됩니다. 만약 x-ray 에서 안보이는 것 때문에 통증이나 잇몸 붓는 것 있다면 치료해야 합니다.
안녕하세요. 최석민 치과의사입니다.
보통 재수술은 마지막 수단입니다 그 전에 잇몸 염증 관련 처치 수술을 해보는 것을 권장합니다

