아핫뉴스실시간 인기검색어
아핫뉴스 화산 이미지
화산 아이콘 11
신한카드 개인정보 유출
많이 본
아하

의료상담

치과

성숙한꿩97
성숙한꿩97

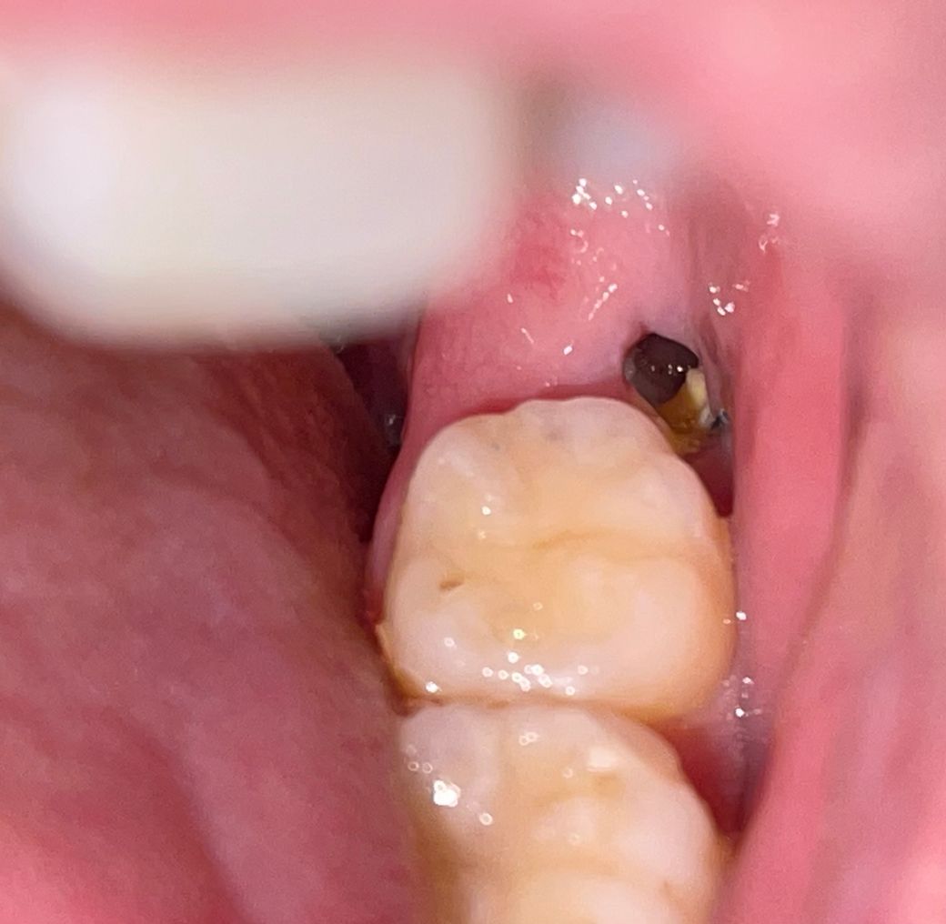
사랑니 발치 후 구멍 주변에 이거 뭔가요?

현재 하악 매복사랑니 발치 4일차인데요!

어제부터 구멍 주변에 노란색? 흰색 비슷한 게 붙어있네요...;;

이게 뭘까요 ㅜㅜ 너무 거슬려서 자꾸 신경쓰여요 ㅜㅠㅠ

  • 1번 째 사진
  • 2번 째 사진
2개의 답변이 있어요!
  • 안녕하세요. 송우식 치과의사입니다.

    정상적으로 아물고 있는 중입니다. 음식물 잔사가 붙은 것일 수도 있고 상처 주위에 흰색으로 딱지 앉은 것일 수도 있습니다. 시간이 지나 살이 차 올라오면 없어집니다.

  • 안녕하세요. 김철진 치과의사입니다.

    사랑니 발치하고 나서 상처가 낫는과정중에 자연스럽게 생기는 현상입니다. 크게 문제가 잇는건 아니니 걱정하지 않으셔도 됩니다.