아하
  • 토픽

  • 스파링

  • 잉크

  • 미션


의료상담

정중한고양이32

정중한고양이32

교정중인데 엑스레이 확인해주세요..

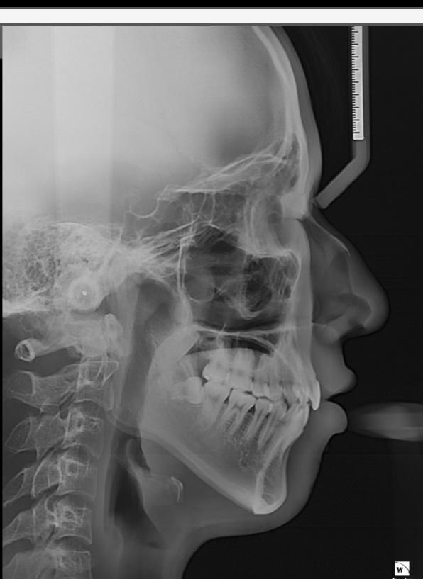
marpe을 1년동안 게속돌려서 다른사람들보다 marpe장치를 훨씬많이돌렸는데 귀에서 눈까지거리(얼굴앞뒤뼈가) 교정전보다 훨씬 커진것같은데 엑스레이상에서도 훨씬 커지게 나왔는데 확인부탁드립니다 귀에서 눈까지거리

제미나이한테물어보니 marpe을 저처럼 심하게 많이돌리면 위턱뼈가 확장될때 얼굴앞뒤뼈에도 간접적으로 영향가 커질수있다고...성인20대초남자입니다

  • 1번 째 사진
  • 2번 째 사진

2개의 답변이 있어요!

  • 정진석 치과의사

    정진석 치과의사

    대학병원 통합치의학전문의

    안녕하세요. 정진석 치과의사입니다.

    간접적인 영향이지 직접적으로 영향을 미치지 않습니다. 또한 소아 청소년기에 이러한 변화가 나타날 가능성이 있으며 성인기에는 변화 가능성이 적다고 보시면 됩니다. 또한 다음 사진은 정확히 같은 지점을 계측하지 않았으므로 해당 사진만으로 판단할 수 없습니다.

  • 안녕하세요. 최석민 치과의사입니다.

    전후 셉 사진이 있으니 계측하여 비교는 가능합니다

    동일조건(머리 자세, 기계 세팅값)하에 찍어야 하고 두 사진을 중첩하여 최적중첩법, 안정골구조물 중첩법 등을 이용하면 하악골의 변화 측정가능합니다 병원에 해달라고 요청하세요 아쉽지만 아하 온라인상에선 못합니다