의료상담
신경외과, 영상의학과 교수님들 뇌ct영상 좀 봐주세요
성별
여성
나이대
33
기저질환
없음
복용중인 약
없음
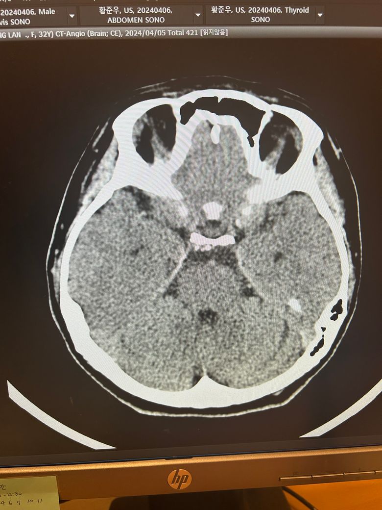
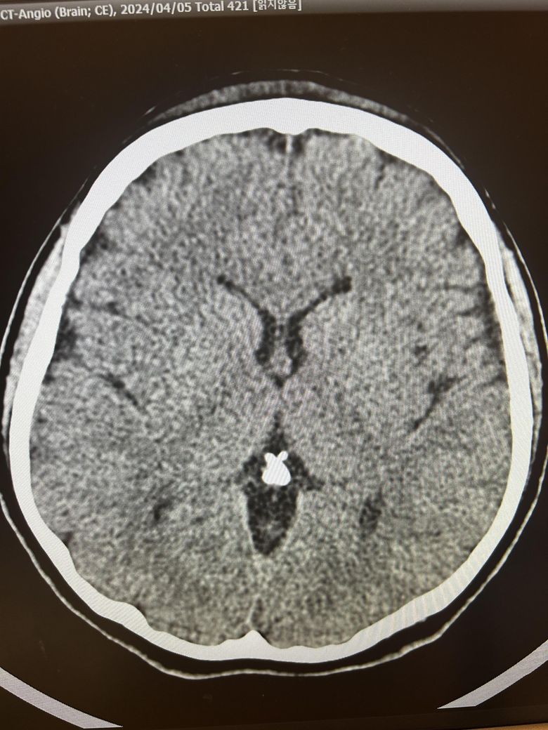
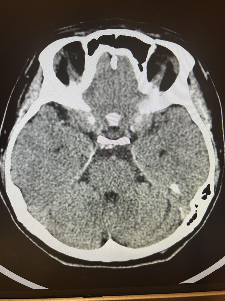
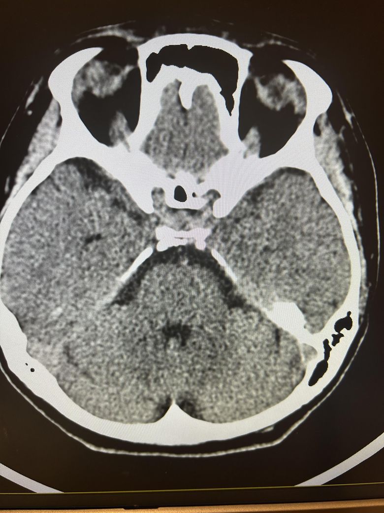
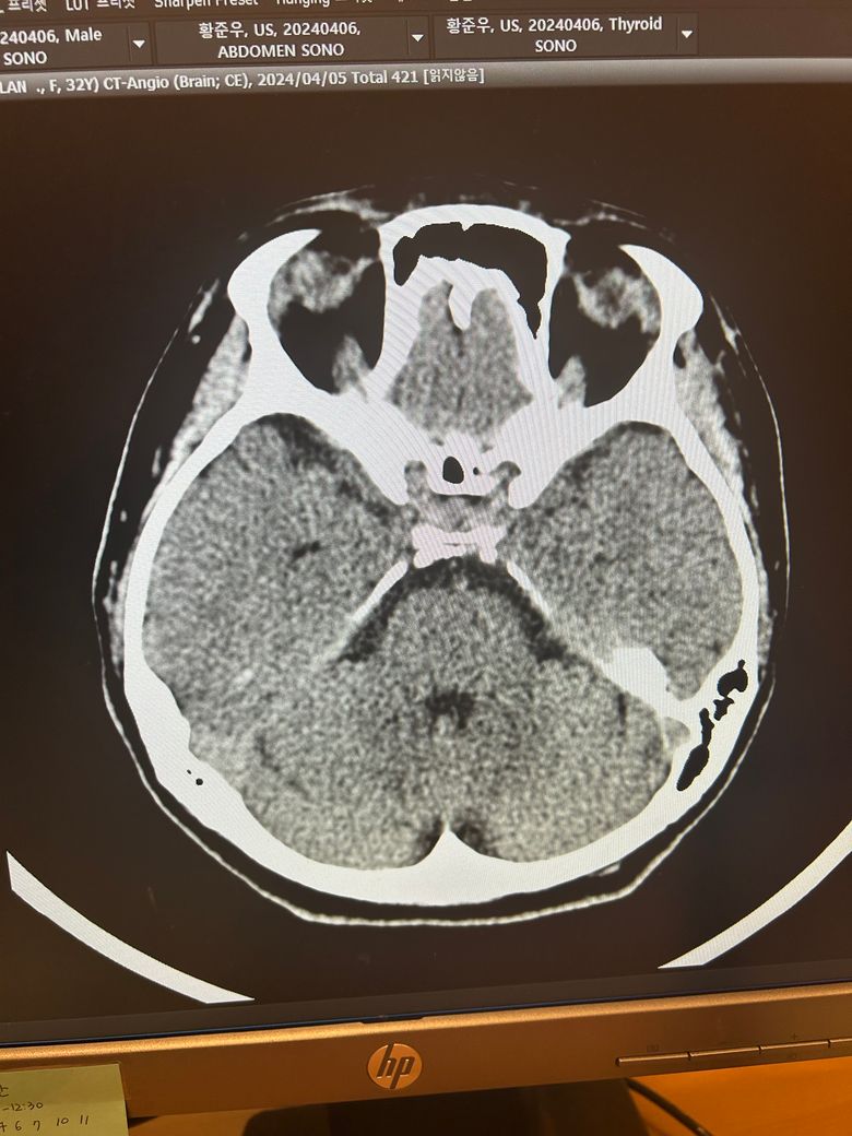
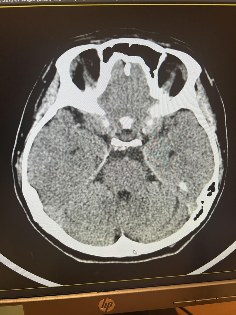
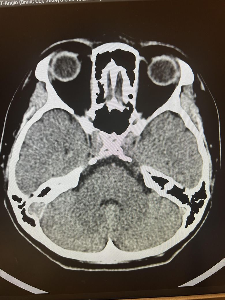
두통과 목뻐근함이 일주일째 심해서 뇌ct검사를 했습니다.
영상은 이렇게 보이는데 어떻게 의심되시나요?
석회화랑 다른것도 보이시나요?
55글자 더 채워주세요.
1개의 답변이 있어요!
안녕하세요. 채홍석 의사입니다.
검사를 받은 곳 판독을 참고하시면 될 것 같습니다
뇌CT는 골절 혹은 출혈을 확인하기에 바람직한 검사입니다
참고하시면 좋겠습니다
추천 좋아요 부탁드립니다.

