아핫뉴스실시간 인기검색어
아핫뉴스 화산 이미지
화산 아이콘 11
박지윤 최동석 소송 기각
아하

의료상담

신경과·신경외과

충분히활기가넘치는군만두
충분히활기가넘치는군만두

뇌 mri / 두정엽 부분 병변이나 위축되었는지요?

성별
남성
나이대
30대
기저질환
고지혈증

안녕하세요.

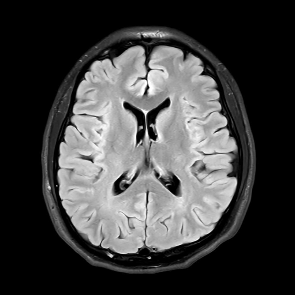
시공간 감각 저하(비현실감)와 바보가 되는 느낌(?)으로 최근에 mri를 촬영하였는데, 사진상 오른쪽에 구멍이 나있어서.. 질문드립니다.

제발 답변해 주시면 감사하겠습니다..ㅠㅠ

부탁드립니다...

  • 1번 째 사진
  • 2번 째 사진
  • 3번 째 사진
1개의 답변이 있어요!
  • 안녕하세요. 채홍석 가정의학과 전문의입니다.

    업로드해주신 증상의 설명과 자료는 잘 보았습니다.

    저부분은 특별히 어디가 이상이 있거나 하는 것은 아닙니다.

    그래서 환자분의 현재 증상에 대해서는 다른 접근을 해보셔야 하겠습니다.

    정신과 진료도 한 번 고려를 해보시면 도움이 될 것 같습니다.