아하
  • 토픽

  • 스파링

  • 잉크

  • 미션


의료상담

비상하는 올빼미862

비상하는 올빼미862

22.08.15

턱이 비율상 대각으로 긴가요?

사진찍으면 턱이 대각으로 긴 느낌과 돌출입 느낌이 있어서 대략적인 판단부탁드립니다


원래 실제피부까지 봐야 판단되는건가요?

피부살성?에따라 뼈모양이랑 다르게 보이기도 하나요?











#치과

#구강악안면외과

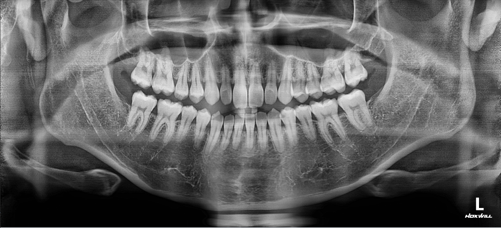
  • 1번 째 사진
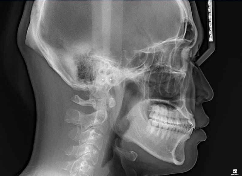
  • 2번 째 사진
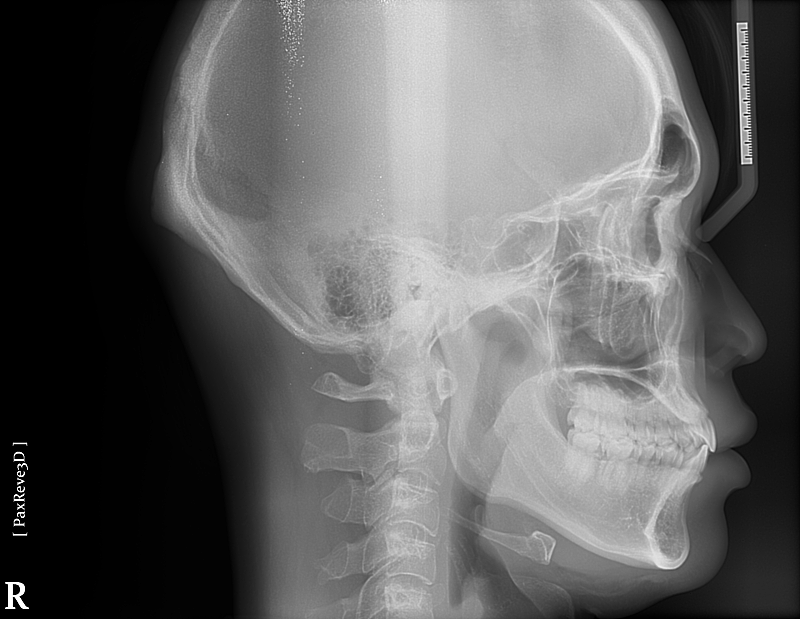
  • 3번 째 사진

2개의 답변이 있어요!

  • 정진석 치과의사

    정진석 치과의사

    대학병원 통합치의학전문의

    22.08.16

    안녕하세요. 정진석 치과의사입니다.

    해당 골격 정도로는 비대칭이라고 보지 않습니다. 너무 예민하게 반응하시는 것으로 보이며 이정도는 정상 범주입니다. 연조직을 보지 않더라도 심미적으로 크게 문제가 되지 않을 것으로 보이며 미세 조정을 원한다면 담당 교정과 선생님과 상담을 해보시길 바랍니다.

    아무쪼록 저의 답변이 문제 해결에 작게 나마 도움이 될 수 있기를 기원드립니다. 항상 건강하고, 행복하세요^^

    정진석 치과의사 드림

  • 안녕하세요. 김철진 치과의사/경제·금융전문가입니다.

    사진상으로는 크게 문제는 없어 보입니다. 정확한 판단을 위해서는 교정진단을 통해서 정상 범주와 비교를 해보는게 좋습니다.