의료상담
입술 안쪽에 몽우리?같은게 만져집니다
성별
여성
나이대
29
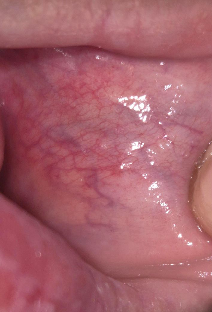
혀로 윗입술을 쓸었는데 몽우리같은 느낌? 근육이 뭉친느낌?
몽우리같은 동그란느낌이 느껴집니다 손으로도ㅠ만져지는데
구내염일까요? 무슨과를 가야하나요?
55글자 더 채워주세요.
1개의 답변이 있어요!
안녕하세요.
입술 안쪽에 몽우리나 동그란 덩어리가 만져지는 증상은 대표적으로 구내염(아프타성 구내염)이나 점액낭종일 가능성이 높습니다.
구내염(아프타성 구내염)은 입안 점막에 염증이 생겨 발생하며 동그란 궤양이나 붉은 부위가 생길 수 있습니다. 대개 1~2주 내에 자연적으로 치유되며, 통증이 동반될 수 있습니다
점액낭종은 입술이나 입안 점막에 침샘관이 손상되면서 점액이 고여 생기는 물혹입니다. 만졌을 때 젤리처럼 부드럽거나, 동그랗고 투명하거나 푸른빛을 띨 수 있습니다. 크기가 커졌다 작아졌다 하기도 하고 쉽게 재발하는 경향이 있습니다.
진료과는 이비인후과 또는 치과 방문을 권장합니다. 두 진료과 모두 구강 내 점막 질환을 진단하고 치료하는 대표적인 전문진료과 입니다. 증상이 2주 이상 지속되거나, 크기가 커지거나, 통증이 심해지면 진료를 꼭 진료받으시길 권장합니다.

